郑州牙齿美白费用多少?时间的流逝,对于我们牙齿所造成的更常见的现象就是牙齿的变色,变色牙让我们的幸福微笑变得越来越尴尬,而且还容易形成口腔病菌,危害我们的健康。所以做牙齿美白是很重要的。那么郑州牙齿美白费用是多少呢?
影响牙齿美白费用的因素
牙齿美白的费用与选择的医院有关,如整个医院的医疗设备与医疗水平等有关,一个资格都不齐全的小黑牙科诊所与正规的医院价格肯定不会相同。
其次是牙齿美白术的费用与采用美白方案有关,采用的美白方案繁简不同,这也会跟影响到牙齿美白的费用,美白牙齿的方法很多,中韩·唯美口腔采用目前更先进的彩光美白牙齿,30分钟即可达到你想要的牙齿美白效果。
再有是牙齿美白的费用与选择专家有关,专家的专业水平不同其美白费用肯定也有所不同。虽然牙齿美白看似简单,但一个知名的口腔专家与一个刚刚牙科毕业的小实习生是无法相比的。中韩·唯美口腔牙齿美白全部由临床经验丰富的专家亲自操作,以保证牙齿美白的更好效果。
更后就是牙齿美白的费用与地区有关,因为其地区不同,消费水平不同,因此,地区的不同也有一定的因素。推荐阅读:美国360°彩光美白
牙齿美白更好的方法推荐——美国360°彩光美白
中韩·唯美口腔的美国360°彩光美白技术是一项正流行于欧美的更新兴的牙齿美白技术,它将高强度彩光定点照射,它不仅可以去除牙齿表面的色素沉积,及深层所附着的色素,美白效果持久有效,仅需短短的30分钟,即可让您拥有一口润白亮泽的牙齿。具有持久、自然、快速、专业、安全等五大优势。另外,彩光牙齿美白方法可以治疗很多种牙齿变色的现象,如,牙齿变黑等现象,而且我们每个人牙齿变色的情况都会不同,所以在治疗时候的收费是不同的,但是这是一个很普通的美白牙齿的方法,所以彩光牙齿美白价格也是我们普通人可以接受的。点击在线咨询,了解彩光美白的优惠活动!在线预约可享更多优惠!
中韩·唯美口腔牙齿美白专家推荐

罗柏柯,口腔执业医师,精湛技术:美容修复、口内治疗、1小时德国西诺德CAD/CAM3D齿雕全瓷修复。毕业于郑州大学口腔系,曾于华西口腔医学院从事口腔修复、口腔外科以及口腔内科工作,拥有丰富的临床经验,主要擅长烤瓷和全瓷的美容修复及龋病的充填治疗,牙髓病、根尖周病的根管治疗。多次应邀参加国内外口腔学术交流,在省级、品质刊物上发表学术论文数十篇。从医以来,接诊病例数千例,为人谦和,热心细致,操作轻柔,得到客人与同事一致肯定与称赞!
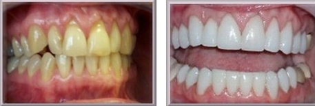
中韩·唯美口腔牙齿美白前后对比图

温馨提示:如果你在阅读文章时碰到不清楚的地方,可以通过在线咨询中韩·唯美口腔的专家;如果你需要看病又不想排队挂号,也可以通过这里提前预约,我们将免费为你安排。
相关感兴趣文章
豫公网安备 41010502002633号
免责声明:本网站近期将进行改版,网站所有内容及图片不做为任何法律依据。如有违反或者侵权,请及时联系更改。
网站医疗信息仅供参考,不能作为诊断及医疗依据 本网站内容部分来源转载于网络,不能作为任何法律依据!
请注意时效性,望知悉。如有违反或者侵权,请及时联系更正。