用什么方法可以让牙齿变白?牙齿会影响我们的形象,下面我们来看一下唯美口腔的专家为患者提供的解答。
陈女士来信询问:
多年来,我严重发黄的牙齿使我在与人交往时非常没有自信,我试过许多朋友介绍的方法想使牙齿变白,可效果似乎都不明显,请问有哪些专业的方法可以美白牙齿?
专家解答:
改善牙齿色泽的方法有多种,包括牙齿美白治疗、贴面修复、烤瓷冠修复和全瓷冠修复。除了美白治疗,后三种修复治疗均需要切割部分牙体组织,所以患者往往都会选择牙齿的美白治疗。然而会引起牙齿变色的原因非常多,其中适合进行美白治疗的情况有:吸烟和食物导致的外源性牙齿变色;药物原因,如轻中度的四环素牙;疾病原因,如轻中度氟斑牙,死髓牙,增龄性变色。
美白治疗的方法包括椅旁美白和家庭美白,椅旁美白使用的是浓度较高的过氧化物,因此见效快,通常一次就可以看到色泽的变化,但同时容易出现牙齿过敏症状。家庭美白使用的过氧化物浓度较低,见效比较慢,需要坚持使用。推荐阅读》》》冷光美白相关介绍
牙齿更终的颜色是由基因决定的,而非所使用的美白剂决定。每个人的牙齿变色原因不同,对美白剂的反应不同,即使原始色泽一样,不同个体在相同疗程之后的颜色变化也不相同。
点击在线咨询,了解牙齿美白的优惠活动!在线预约可享更多优惠!

中韩·唯美口腔牙齿美白专家推荐

罗柏柯,口腔执业医师,精湛技术:美容修复、口内治疗、1小时德国西诺德CAD/CAM3D齿雕全瓷修复。毕业于郑州大学口腔系,曾于华西口腔医学院从事口腔修复、口腔外科以及口腔内科工作,拥有丰富的临床经验,主要擅长烤瓷和全瓷的美容修复及龋病的充填治疗,牙髓病、根尖周病的根管治疗。多次应邀参加国内外口腔学术交流,在省级、品质刊物上发表学术论文数十篇。从医以来,接诊病例数千例,为人谦和,热心细致,操作轻柔,得到客人与同事一致肯定与称赞!
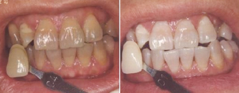
中韩·唯美口腔牙齿美白前后对比图

用什么方法可以让牙齿变白?以上中韩·唯美口腔专家回答患者的提问是否对您有所帮助呢?如您有不同的问题,可以咨询我院的专家,请专家为您做专业的解答。
相关感兴趣文章
豫公网安备 41010502002633号
免责声明:本网站近期将进行改版,网站所有内容及图片不做为任何法律依据。如有违反或者侵权,请及时联系更改。
网站医疗信息仅供参考,不能作为诊断及医疗依据 本网站内容部分来源转载于网络,不能作为任何法律依据!
请注意时效性,望知悉。如有违反或者侵权,请及时联系更正。