治疗氟斑牙的费用是多少?郑州中韩·唯美口腔专家介绍:氟本身对于人体是双重性质的,它一方面可以增加牙齿的坚固度,一方面却又会使人们患上氟斑牙,但只有在6、7岁以前常接触氟的话,能患上氟斑牙,之后就不会再有氟斑牙了。对于氟斑牙人们是极为头疼的,因为它通常呈现出深黄或者发黑,极为影响人们的面部容貌,那么郑州氟斑牙治疗价格是多少呢?下面我们就跟随唯美口腔专家一起来了解一下吧!
据专家介绍,在未到医院接受医生的检查前,对于氟斑牙治疗的价格是不能只用一个数字来概括的,它是由多重因素共同决定的,主要包含有以下几方面:
1、牙齿状况:牙齿变色的深浅程度不同,原因也不尽相同,有着内源性着色和外源性着色之分。根据不同的情况,采取的治疗方法也是不同的,像冷光美白就只能治疗轻中度的氟斑牙,重度的氟斑牙就需要另觅美白方法了,当然价格也是不一样的。
2、医疗机构:随着人们对于口腔医疗知识的了解增加,人们也明白了先进的医疗设备和消毒严格的手术环境,对于手术效果的重要性,当然在收费方面,这些地方也是不菲的,不过不用担心会出现乱收费的现象,而且效果一般都是有着充分的保障的。推荐阅读》》》治疗氟斑牙好的医院
3、医生资质:技术精湛的医生和刚实习不久的医生之间的差别,我想大家都是能够看得出来的,大家在进行治疗时,也都希望寻找一个技术娴熟,经验丰富的医生来为自己亲自操作,以期获得理想的效果,并保障自身的安全。但这些医生通常都在正规专业的医疗机构中才会见到,自然收费也不会太低。
点击在线咨询,了解牙齿美白的优惠活动!在线预约可享更多优惠!

中韩·唯美口腔牙齿美白专家推荐

罗柏柯,口腔执业医师,精湛技术:美容修复、口内治疗、1小时德国西诺德CAD/CAM3D齿雕全瓷修复。毕业于郑州大学口腔系,曾于华西口腔医学院从事口腔修复、口腔外科以及口腔内科工作,拥有丰富的临床经验,主要擅长烤瓷和全瓷的美容修复及龋病的充填治疗,牙髓病、根尖周病的根管治疗。多次应邀参加国内外口腔学术交流,在省级、品质刊物上发表学术论文数十篇。从医以来,接诊病例数千例,为人谦和,热心细致,操作轻柔,得到客人与同事一致肯定与称赞!
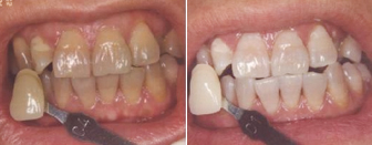
中韩·唯美口腔牙齿美白前后对比图

治疗氟斑牙的费用是多少?中韩·唯美口腔专家提醒各位,一定要到正规专业的医疗机构接受氟斑牙治疗,这样才能保证良好的效果和自身的安全性。如果还有什么不明白的,欢迎咨询我们的在线专家,我们将会为你进行详细讲解。
相关感兴趣文章
豫公网安备 41010502002633号
免责声明:本网站近期将进行改版,网站所有内容及图片不做为任何法律依据。如有违反或者侵权,请及时联系更改。
网站医疗信息仅供参考,不能作为诊断及医疗依据 本网站内容部分来源转载于网络,不能作为任何法律依据!
请注意时效性,望知悉。如有违反或者侵权,请及时联系更正。