欢迎进入郑州市金水区唯美口腔

郑州唯美口腔医院周年庆预约专家

郑州唯美口腔医院周年庆在线咨询

郑州唯美口腔医院周年庆免费咨询热线 0371-55019113

首页 > 郑州牙齿修复 > 烤瓷牙 >
郑州唯美口腔医院

烤瓷牙的价格多少

来源 :郑州唯美口腔医院        时间:2013-09-12 14:20 进入专家答疑区 在线咨询 | 预约专家

  烤瓷牙的价格多少?岁月无情但是有痕,总是要给我们留下些东西才能展示出它的强大力量,而表现在牙齿方面就变为牙齿的缺损、畸形、变色等等情况,改变这些状况的方法大多数朋友都会选择烤瓷牙,那么烤瓷牙的价格是多少呢?

  中韩·唯美口腔专家介绍:烤瓷牙是由内冠和外面的瓷层组成的,由于其内冠材料的不同,更好的烤瓷牙多少钱也存在很大的差异。而对于同样的材质,制作工艺也不一样,做出来的烤瓷牙的形态、颜色、品质也不尽相同,所以也会影响烤瓷牙的价格。另外,烤瓷牙的优点决定了更好的烤瓷牙多少钱。

  烤瓷牙价格高主要有两个原因,一是烤瓷牙适用范围广,所以更好的烤瓷牙多少钱备受关注。个别牙不整齐,牙缝过宽、断牙、缺牙、四环素牙、牙釉质发育不全、畸形牙等都可以通过烤瓷牙来修复.二是烤瓷牙修复美观逼真,这也是决定郑州更好的烤瓷牙多少钱的一个重要因素。什么样的烤瓷牙方式适合你呢?点击在线咨询直接与专家对话了解详情!

  一个好的烤瓷牙,有赖于临床工程师规范的操作,正确的设计,专业的修复理论和技师的密切配合等,否则将难以达到理想的修复效果.一般来说经过正规医师严格、规范、正确的操作、设计、制作,这样不仅能够保证其效果,同时也可以可以保证烤瓷牙的价格。推荐阅读:3D全瓷牙

  烤瓷牙更好的方法——3D全瓷牙

  韩·唯美口腔拥有的3D全瓷牙采用更高端的氧化锆材料,运用先进的CT三维数字扫描技术、电脑智能CAD/CAM系统设计,在短时间内根据患者的口腔条件、脸型、肤色,量身定做个性化全瓷牙修复美容方案。3D全瓷牙拥有完美的精密度;具有真牙相匹配的透光性,色泽逼真,可媲美自然牙;良好的生物相容性,对牙龈无刺激;强度绝佳,强度超出真牙,拥有卓越的咬合力量,无不良金属离子渗出,磨牙较少,更大程度地保留原有的牙齿组织,所以能达到更佳的美齿效果及与软组织的更舒适接触。点击在线咨询,了解全瓷牙的优惠活动,在线预约可享更多优惠!

  中韩·唯美口腔牙齿修复专家推荐

   

  莫三心教授,主任医师,硕士研究生导师。唯美口腔特邀专家,河南省口腔医学领域知名专家、郑州大学知名教授。精湛技术:牙齿种植、口腔修复、牙齿美容修复曾多次获得卫生部及省市各级表彰。主编多部并且参与编写多部国家医学教材,发表学术论文20余篇。擅于口腔修复,并涵盖口腔专业各个领域,可谓是大师级的口腔专家,在国内口腔界享有很高的声望。

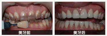
  中韩·唯美口腔牙齿修复前后对比图

  中韩·唯美口腔医院诊疗中心推出网络挂号预约系统,在网站上挂号成功后可减免专家挂号费,并有优惠。预约时间就诊更方便快捷,省去看专家要排队的烦恼。

浏览本篇文章的网友

27%
选择了:郑州唯美口腔医院
在线医师坐诊,快速悉知病情!
39%
选择了:郑州唯美口腔医院
在线医师坐诊,快速悉知病情!
分享到:郑州唯美口腔医院
郑州唯美口腔医院

扫一扫
把郑州唯美
加为好友

郑州唯美口腔医院

相关感兴趣文章

郑州哪里陶瓷牙齿

郑州哪里陶瓷牙齿

郑州哪里陶瓷牙齿好 不少人都知道陶瓷牙效果好,寿命长,美观得体,想为自己的缺牙美...[详情]

郑州医院烤瓷牙多少钱

郑州医院烤瓷牙多少钱

郑州医院烤瓷牙多少钱,很多身边的朋友都存在牙齿缺失问题,常见原因都是蛀牙引发的牙...[详情]

做烤瓷牙套要多少钱

做烤瓷牙套要多少钱

做烤瓷牙套要多少钱, 由于一些外在的因素,导致我们需要去做烤瓷牙来修复牙齿,可是我...[详情]

烤瓷牙哪家医院好?

烤瓷牙哪家医院好?

现在社会中我们的生活越来越好对于自己的牙齿慢慢关注的越来越多,大家通常对于做烤瓷...[详情]

唯美品牌
郑州唯美口腔医院
  • 时间:10月20日
  • 摘要:唯美口腔加入郑州人民医院医疗集团
  • 地点:郑州唯美口腔
  • 详情 → 咨询 →
郑州唯美口腔医院
  • 时间:每周一、周五亲诊
  • 摘要:矫正专家亲诊
  • 地点:郑州唯美口腔
  • 详情 → 咨询 →
特邀专家

有牙齿困扰 在线找专家

专家热线:0371-55019113

专家团队
精彩专题
> 微创即刻种植牙
> 隐适美隐形矫正
> 360°彩光美白
> 超薄牙贴面
> 3D全瓷牙

豫公网安备 41010502002633号

免责声明:本网站近期将进行改版,网站所有内容及图片不做为任何法律依据。如有违反或者侵权,请及时联系更改。

网站医疗信息仅供参考,不能作为诊断及医疗依据 本网站内容部分来源转载于网络,不能作为任何法律依据!

请注意时效性,望知悉。如有违反或者侵权,请及时联系更正。