欢迎进入郑州市金水区唯美口腔

郑州唯美口腔医院周年庆预约专家

郑州唯美口腔医院周年庆在线咨询

郑州唯美口腔医院周年庆免费咨询热线 0371-55019113

首页 > 郑州牙齿修复 > 烤瓷牙 >
郑州唯美口腔医院

烤瓷牙贵不贵

来源 :郑州唯美口腔医院        时间:2013-09-14 17:23 进入专家答疑区 在线咨询 | 预约专家

  烤瓷牙贵不贵?微笑可以打开心扉,传递温暖和力量,但是我们很多时候不愿意去微笑。归其原因还主要是因为牙齿出现的问题,诸如缺损、畸形、变色的情况所导致的,烤瓷牙是修复牙齿常用的方法,那么烤瓷牙贵不贵呢?

  烤瓷牙贵不贵?烤瓷牙的价格与哪些因素有关:

  1、烤瓷牙的材料

  现在的美容材料越来越多,烤瓷牙也不例外。不同的材料花费不同,导致了烤瓷牙价格也会有所不同。烤瓷牙材料分很多种,常见的有镍铬合金、钛合金、贵金属、二氧化锆陶瓷等。其中由于镍铬合金更为便宜,用它们做材料的烤瓷牙价格也就相对较低,而钛合金较比镍铬合金要稍微昂贵一些。相对的,贵金属价格较高,贵金属烤瓷牙的价格也就偏高,更贵的是以二氧化锆陶瓷为材料的烤瓷牙。哪种烤瓷牙材料适合你呢?点击在线咨询,直接与专家对话选择适合自己的烤瓷牙材料!

  2、医院的水平

  想要拥有漂亮的牙齿,做好的牙齿美容,就要选择正规专业的口腔医院,由于正规医院无论是治疗流程还是治疗技术、卫生环境都比小诊所、小医院好很多,因此烤瓷牙价格肯定会比小医院小诊所贵一些,但是好的医院和医生可以保证我们的健康安全,而且烤瓷牙价格不是我们做牙齿美容要考虑的,更重要的是保证我们的人身安全和做烤瓷牙的显著效果。

  3、医生的技能水平

  烤瓷牙的价格除了由材料和医院决定,也跟对医生的技能水平有关,也取决于你口腔的条件。比如在做烤瓷牙手术之前,发现你牙床内多长一颗牙齿或者存在其他口腔问题,就会导致医生要多花费时间和技术为你安装烤瓷牙,这也是影响烤瓷牙价格的一个原因。而且如果牙医技术不过关,会导致牙和牙龈容易出现缝隙,时间长了,牙龈容易发黑,给患者带来很多麻烦。推荐阅读:3D全瓷牙

  中韩·唯美口腔拥有的3D全瓷牙采用更高端的氧化锆材料,运用先进的CT三维数字扫描技术、电脑智能CAD/CAM系统设计,在短时间内根据患者的口腔条件、脸型、肤色,量身定做个性化全瓷牙修复美容方案。3D全瓷牙拥有完美的精密度;具有真牙相匹配的透光性,色泽逼真,可媲美自然牙;良好的生物相容性,对牙龈无刺激;强度绝佳,强度超出真牙,拥有卓越的咬合力量,无不良金属离子渗出,磨牙较少,更大程度地保留原有的牙齿组织,所以能达到更佳的美齿效果及与软组织的更舒适接触。点击在线咨询,了解烤瓷牙的优惠信息!在线预约可享更多优惠!

  中韩·唯美口腔牙齿美容专家推荐

  莫三心教授,主任医师,硕士研究生导师。唯美口腔特邀专家,河南省口腔医学领域知名专家、郑州大学知名教授。精湛技术:牙齿种植、口腔修复、牙齿美容修复曾多次获得卫生部及省市各级表彰。主编多部并且参与编写多部国家医学教材,发表学术论文20余篇。擅于口腔修复,并涵盖口腔专业各个领域,可谓是大师级的口腔专家,在国内口腔界享有很高的声望。

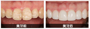
  中韩·唯美口腔牙齿美容前后对比图

  如果您觉得我们的文章没有解释的很清楚,或者还有其他疑问,您可以直接点击我们的在线咨询医生,中韩·唯美口腔的专业咨询医生会给您耐心的,详细的解答,并给您一个满意的答复!

浏览本篇文章的网友

27%
选择了:郑州唯美口腔医院
在线医师坐诊,快速悉知病情!
39%
选择了:郑州唯美口腔医院
在线医师坐诊,快速悉知病情!
分享到:郑州唯美口腔医院
郑州唯美口腔医院

扫一扫
把郑州唯美
加为好友

郑州唯美口腔医院

相关感兴趣文章

郑州哪里陶瓷牙齿

郑州哪里陶瓷牙齿

郑州哪里陶瓷牙齿好 不少人都知道陶瓷牙效果好,寿命长,美观得体,想为自己的缺牙美...[详情]

郑州医院烤瓷牙多少钱

郑州医院烤瓷牙多少钱

郑州医院烤瓷牙多少钱,很多身边的朋友都存在牙齿缺失问题,常见原因都是蛀牙引发的牙...[详情]

做烤瓷牙套要多少钱

做烤瓷牙套要多少钱

做烤瓷牙套要多少钱, 由于一些外在的因素,导致我们需要去做烤瓷牙来修复牙齿,可是我...[详情]

烤瓷牙哪家医院好?

烤瓷牙哪家医院好?

现在社会中我们的生活越来越好对于自己的牙齿慢慢关注的越来越多,大家通常对于做烤瓷...[详情]

唯美品牌
郑州唯美口腔医院
  • 时间:10月20日
  • 摘要:唯美口腔加入郑州人民医院医疗集团
  • 地点:郑州唯美口腔
  • 详情 → 咨询 →
郑州唯美口腔医院
  • 时间:每周一、周五亲诊
  • 摘要:矫正专家亲诊
  • 地点:郑州唯美口腔
  • 详情 → 咨询 →
特邀专家

有牙齿困扰 在线找专家

专家热线:0371-55019113

专家团队
精彩专题
> 微创即刻种植牙
> 隐适美隐形矫正
> 360°彩光美白
> 超薄牙贴面
> 3D全瓷牙

豫公网安备 41010502002633号

免责声明:本网站近期将进行改版,网站所有内容及图片不做为任何法律依据。如有违反或者侵权,请及时联系更改。

网站医疗信息仅供参考,不能作为诊断及医疗依据 本网站内容部分来源转载于网络,不能作为任何法律依据!

请注意时效性,望知悉。如有违反或者侵权,请及时联系更正。