欢迎进入郑州市金水区唯美口腔

郑州唯美口腔医院周年庆预约专家

郑州唯美口腔医院周年庆在线咨询

郑州唯美口腔医院周年庆免费咨询热线 0371-55019113

首页 > 郑州牙齿修复 > 烤瓷牙 >
郑州唯美口腔医院

烤瓷牙修复牙齿哪种好

来源 :郑州唯美口腔医院        时间:2013-09-16 17:39 进入专家答疑区 在线咨询 | 预约专家

  烤瓷牙修复牙齿哪种好?选择是一件十分让人纠结的事情,比如说选择一顿食物,一件衣服的时候,但是比这些更纠结的就是在我们选择烤瓷牙来修复牙齿的时候,面对众多的烤瓷牙方法,不知道怎么选择好,那么烤瓷牙修复牙齿哪种好呢?

  烤瓷牙修复牙齿哪种好?烤瓷牙的种类

  1、半贵金属烤瓷牙:代表是钴铬合金烤瓷牙,其生物相容性优于非贵金属,也比较耐久,可以避免牙龈出血及黑色牙龈的现象出现。钴铬合金烤瓷牙的价格介于非贵金属烤瓷牙和贵金属烤瓷牙之间,价格比较适中,是一款适合大众的经济型烤瓷牙。

  2、贵金属烤瓷牙:主要成分是黄金和白金,比同类产品具有更丰富完善的颜色体系,与天然牙颜色接近,更具理想的生物相容性,使用安全,对人体无害,使用年限更长久,形态逼真,更接近自然牙的强度和形态,堪称“牙齿装潢”的理想材料;

  3、非贵金属烤瓷牙:主要是在镍铬合金制成的金属内冠外高温烤瓷而成,其价格相对较低,但是这种烤瓷牙存在一些缺点,目前已不建议使用;

  4、全瓷牙:全瓷牙与其它烤瓷牙更大的区别在于内冠,全瓷的内冠是一种透明的骨架,由于无金属基底结构,不透金属色,所以色泽自然,层次感强,透明效果理想,它的层次、色泽更接近真牙;哪种方法适合你呢?点击在线咨询,直接与专家对话了解详情!推荐阅读:3D全瓷牙

  烤瓷牙修复牙齿更好的方法——3D全瓷牙

  中韩·唯美口腔拥有的3D全瓷牙采用更高端的氧化锆材料,运用先进的CT三维数字扫描技术、电脑智能CAD/CAM系统设计,在短时间内根据患者的口腔条件、脸型、肤色,量身定做个性化全瓷牙修复美容方案。3D全瓷牙拥有完美的精密度;具有真牙相匹配的透光性,色泽逼真,可媲美自然牙;良好的生物相容性,对牙龈无刺激;强度绝佳,强度超出真牙,拥有卓越的咬合力量,无不良金属离子渗出,磨牙较少,更大程度地保留原有的牙齿组织,所以能达到更佳的美齿效果及与软组织的更舒适接触。点击在线咨询了解烤瓷牙的优惠活动!在线预约可享更多优惠!

  中韩·唯美口腔牙齿美容专家推荐

  艾西川,副主任医师,精湛技术:颌面外科、牙齿美容、1小时德国西诺德CAD/CAM3D齿雕全瓷修复。毕业于中国口腔著名学府——西安第四军医大学,原南京军区口外知名专家,郑州市口腔医院院长。从事口腔全科临床工作三十余年,对口腔内外科有丰富的临床经验,拥有万例成功案例。曾获市级科研成果奖两项,省级三项,多部专著被列为医大教材,在国内外知名刊物上发表专业论文20余篇,多次应邀参加国内外口腔大型研讨会,于口腔治疗方面有独到的治疗方法,深受客人好评。

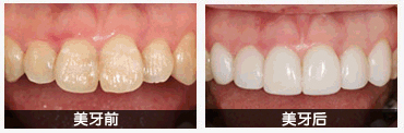
  中韩·唯美口腔牙齿美容前后对比图

  如果您还有想要了解的情况,可以点击我们的在线咨询,中韩·唯美口腔的在线专家会给您更专业,更详细的解答,或是拨打我们的24小时康复热线,与专家一对一详解。

浏览本篇文章的网友

27%
选择了:郑州唯美口腔医院
在线医师坐诊,快速悉知病情!
39%
选择了:郑州唯美口腔医院
在线医师坐诊,快速悉知病情!
分享到:郑州唯美口腔医院
郑州唯美口腔医院

扫一扫
把郑州唯美
加为好友

郑州唯美口腔医院

相关感兴趣文章

郑州哪里陶瓷牙齿

郑州哪里陶瓷牙齿

郑州哪里陶瓷牙齿好 不少人都知道陶瓷牙效果好,寿命长,美观得体,想为自己的缺牙美...[详情]

郑州医院烤瓷牙多少钱

郑州医院烤瓷牙多少钱

郑州医院烤瓷牙多少钱,很多身边的朋友都存在牙齿缺失问题,常见原因都是蛀牙引发的牙...[详情]

做烤瓷牙套要多少钱

做烤瓷牙套要多少钱

做烤瓷牙套要多少钱, 由于一些外在的因素,导致我们需要去做烤瓷牙来修复牙齿,可是我...[详情]

烤瓷牙哪家医院好?

烤瓷牙哪家医院好?

现在社会中我们的生活越来越好对于自己的牙齿慢慢关注的越来越多,大家通常对于做烤瓷...[详情]

唯美品牌
郑州唯美口腔医院
  • 时间:10月20日
  • 摘要:唯美口腔加入郑州人民医院医疗集团
  • 地点:郑州唯美口腔
  • 详情 → 咨询 →
郑州唯美口腔医院
  • 时间:每周一、周五亲诊
  • 摘要:矫正专家亲诊
  • 地点:郑州唯美口腔
  • 详情 → 咨询 →
特邀专家

有牙齿困扰 在线找专家

专家热线:0371-55019113

专家团队
精彩专题
> 微创即刻种植牙
> 隐适美隐形矫正
> 360°彩光美白
> 超薄牙贴面
> 3D全瓷牙

豫公网安备 41010502002633号

免责声明:本网站近期将进行改版,网站所有内容及图片不做为任何法律依据。如有违反或者侵权,请及时联系更改。

网站医疗信息仅供参考,不能作为诊断及医疗依据 本网站内容部分来源转载于网络,不能作为任何法律依据!

请注意时效性,望知悉。如有违反或者侵权,请及时联系更正。