欢迎进入郑州市金水区唯美口腔

郑州唯美口腔医院周年庆预约专家

郑州唯美口腔医院周年庆在线咨询

郑州唯美口腔医院周年庆免费咨询热线 0371-55019113

首页 > 郑州牙齿修复 > 烤瓷牙 >
郑州唯美口腔医院

全瓷牙修复后要注意什么

来源 :郑州唯美口腔医院        时间:2013-09-16 18:30 进入专家答疑区 在线咨询 | 预约专家

  全瓷牙修复后要注意什么?知其不然,才能不乱于心。当然这里的不然是指的不应该做的事情,修复牙齿的缺损,变形,着色等等问题,我们都可以选择烤瓷牙种类的更好方法——全瓷牙,那么为了不乱于心,全瓷牙修复后应该注意哪些呢?

  全瓷牙修复后要注意什么

  1、初戴全瓷牙时有轻度不适感,患者应耐心练习使用,逐渐适应;全瓷牙与基牙的接合处容易聚集菌斑,形成牙石,应注意清洁,牙缝间可用牙线清洁,并定期到医院检查、洁牙。至于前牙,要注意不要经常用硬物去磕碰它们,要不日子长了可能出现崩瓷。

  2、初戴全瓷牙时应吃软的食物,适应后再吃正常食物;

  3、保持口腔清洁,养成餐后刷牙的习惯;

  4、配戴全瓷牙不合适或压迫粘膜引起疼痛者,应及时复诊修理。

  5、因为磨除牙体组织的量相对较大,另外全瓷冠有一定的透明度,所以如果牙齿本身颜色较重,戴入后会透出内部颜色,因此全瓷牙修复体更适用于牙齿本身有较大缺损的活髓牙或用牙色桩核修复的残根残。推荐阅读:3D全瓷牙

  【专家提示】全瓷牙修复后的自身护理是很重要的,做全瓷牙的患者要谨记以上所说的,以免造成不必要的危害。更多护理知识,可点击在线咨询,直接与专家对话了解详情!

  中韩·唯美口腔牙齿美容专家推荐

  莫三心教授,主任医师,硕士研究生导师。唯美口腔特邀专家,河南省口腔医学领域知名专家、郑州大学知名教授。精湛技术:牙齿种植、口腔修复、牙齿美容修复曾多次获得卫生部及省市各级表彰。主编多部并且参与编写多部国家医学教材,发表学术论文20余篇。擅于口腔修复,并涵盖口腔专业各个领域,可谓是大师级的口腔专家,在国内口腔界享有很高的声望。点击在线咨询,了解全瓷牙修复的优惠活动!在线预约可享更多优惠!

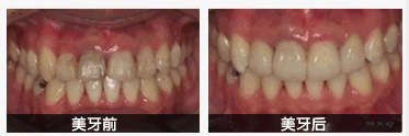
  中韩·唯美口腔牙齿美容前后对比图

  如果您还有想要了解的情况,可以点击我们的在线咨询,中韩·唯美口腔的在线专家会给您更专业,更详细的解答,或是拨打我们的24小时康复热线,与专家一对一详解。

 

浏览本篇文章的网友

27%
选择了:郑州唯美口腔医院
在线医师坐诊,快速悉知病情!
39%
选择了:郑州唯美口腔医院
在线医师坐诊,快速悉知病情!
分享到:郑州唯美口腔医院
郑州唯美口腔医院

扫一扫
把郑州唯美
加为好友

郑州唯美口腔医院

相关感兴趣文章

郑州哪里陶瓷牙齿

郑州哪里陶瓷牙齿

郑州哪里陶瓷牙齿好 不少人都知道陶瓷牙效果好,寿命长,美观得体,想为自己的缺牙美...[详情]

郑州医院烤瓷牙多少钱

郑州医院烤瓷牙多少钱

郑州医院烤瓷牙多少钱,很多身边的朋友都存在牙齿缺失问题,常见原因都是蛀牙引发的牙...[详情]

做烤瓷牙套要多少钱

做烤瓷牙套要多少钱

做烤瓷牙套要多少钱, 由于一些外在的因素,导致我们需要去做烤瓷牙来修复牙齿,可是我...[详情]

烤瓷牙哪家医院好?

烤瓷牙哪家医院好?

现在社会中我们的生活越来越好对于自己的牙齿慢慢关注的越来越多,大家通常对于做烤瓷...[详情]

唯美品牌
郑州唯美口腔医院
  • 时间:10月20日
  • 摘要:唯美口腔加入郑州人民医院医疗集团
  • 地点:郑州唯美口腔
  • 详情 → 咨询 →
郑州唯美口腔医院
  • 时间:每周一、周五亲诊
  • 摘要:矫正专家亲诊
  • 地点:郑州唯美口腔
  • 详情 → 咨询 →
特邀专家

有牙齿困扰 在线找专家

专家热线:0371-55019113

专家团队
精彩专题
> 微创即刻种植牙
> 隐适美隐形矫正
> 360°彩光美白
> 超薄牙贴面
> 3D全瓷牙

豫公网安备 41010502002633号

免责声明:本网站近期将进行改版,网站所有内容及图片不做为任何法律依据。如有违反或者侵权,请及时联系更改。

网站医疗信息仅供参考,不能作为诊断及医疗依据 本网站内容部分来源转载于网络,不能作为任何法律依据!

请注意时效性,望知悉。如有违反或者侵权,请及时联系更正。