欢迎进入郑州市金水区唯美口腔

郑州唯美口腔医院周年庆预约专家

郑州唯美口腔医院周年庆在线咨询

郑州唯美口腔医院周年庆免费咨询热线 0371-55019113

首页 > 郑州牙齿修复 > 烤瓷牙 >
郑州唯美口腔医院

郑州烤瓷牙方法哪种好

来源 :郑州唯美口腔医院        时间:2013-09-26 16:40 进入专家答疑区 在线咨询 | 预约专家

  郑州烤瓷牙方法哪种好?修复牙齿常用的方法当属于烤瓷牙,烤瓷牙以其独特的优越性早已俘获广大朋友的心,但是随着技术的发展,烤瓷牙技术的逐渐成熟,也推动者烤瓷牙种类的发展,那么哪种烤瓷牙的方法好呢?下面跟随郑州知名口腔科专家来了解一下!

  中韩·唯美口腔专家介绍:烤瓷牙美观和舒适的特点是其他种类的假牙所不能比拟的。烤瓷牙作为一种比较理想的修复体,逐渐被大家所接受。烤瓷牙虽好,烤瓷牙种类也多,因此在决定做哪种烤瓷牙的时候你一样会犹豫。要说哪种烤瓷牙比较好,那还得选择一种更适合自己的烤瓷牙。

  烤瓷牙的种类

  1、非贵金属烤瓷牙:主要是在镍铬合金制成的金属内冠外高温烤瓷而成,其价格相对较低,但是这种烤瓷牙存在一些缺点。

  2、贵金属烤瓷牙:选用黄金、白金、钯等贵重金属制作内冠,然后在其表面用与自然牙色相似的瓷粉恢复牙外形,在真空烤瓷炉内烤制成烤瓷牙。

  3、半贵金属烤瓷牙:代表是钴铬合金烤瓷牙,其生物相容性优于非贵金属,也比较耐久,可以避免牙龈出血及黑色牙龈的现象出现;钴铬合金烤瓷牙的价格介于非贵金属烤瓷牙和贵金属烤瓷牙之间,价格比较适中,是一款适合大众的经济型烤瓷牙。推荐阅读:3D全瓷牙

  4、全瓷牙:全瓷牙与其它烤瓷牙更大的区别在于内冠,全瓷的内冠是一种透明的骨架,由于无金属基底结构,不透金属色,所以色泽自然,层次感强,透明效果理想,它的层次、色泽更接近真牙。哪种烤瓷牙适合你呢?点击在线咨询,直接与专家对话了解详情!

  中韩·唯美口腔拥有的3D全瓷牙采用更高端的氧化锆材料,运用先进的CT三维数字扫描技术、电脑智能CAD/CAM系统设计,在短时间内根据患者的口腔条件、脸型、肤色,量身定做个性化全瓷牙修复美容方案。3D全瓷牙拥有完美的精密度;具有真牙相匹配的透光性,色泽逼真,可媲美自然牙;良好的生物相容性,对牙龈无刺激;强度绝佳,强度超出真牙,拥有卓越的咬合力量,无不良金属离子渗出,磨牙较少,更大程度地保留原有的牙齿组织,所以能达到更佳的美齿效果及与软组织的更舒适接触。点击在线咨询,了解全瓷牙的优惠活动!在线预约可享更多优惠!

  中韩·唯美口腔牙齿美容专家推荐

  莫三心教授,主任医师,硕士研究生导师。唯美口腔特邀专家,河南省口腔医学领域知名专家、郑州大学知名教授。精湛技术:牙齿种植、口腔修复、牙齿美容修复曾多次获得卫生部及省市各级表彰。主编多部并且参与编写多部国家医学教材,发表学术论文20余篇。擅于口腔修复,并涵盖口腔专业各个领域,可谓是大师级的口腔专家,在国内口腔界享有很高的声望。

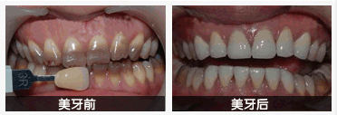
  中韩·唯美口腔牙齿美容前后对比图

  如果您觉得我们的文章没有解释的很清楚,或者还有其他疑问,您可以直接点击中韩·唯美口腔的在线咨询医生,我院专业咨询医生会给您耐心的,详细的解答,并给您一个满意的答复!

浏览本篇文章的网友

27%
选择了:郑州唯美口腔医院
在线医师坐诊,快速悉知病情!
39%
选择了:郑州唯美口腔医院
在线医师坐诊,快速悉知病情!
分享到:郑州唯美口腔医院
郑州唯美口腔医院

扫一扫
把郑州唯美
加为好友

郑州唯美口腔医院

相关感兴趣文章

郑州哪里陶瓷牙齿

郑州哪里陶瓷牙齿

郑州哪里陶瓷牙齿好 不少人都知道陶瓷牙效果好,寿命长,美观得体,想为自己的缺牙美...[详情]

郑州医院烤瓷牙多少钱

郑州医院烤瓷牙多少钱

郑州医院烤瓷牙多少钱,很多身边的朋友都存在牙齿缺失问题,常见原因都是蛀牙引发的牙...[详情]

做烤瓷牙套要多少钱

做烤瓷牙套要多少钱

做烤瓷牙套要多少钱, 由于一些外在的因素,导致我们需要去做烤瓷牙来修复牙齿,可是我...[详情]

烤瓷牙哪家医院好?

烤瓷牙哪家医院好?

现在社会中我们的生活越来越好对于自己的牙齿慢慢关注的越来越多,大家通常对于做烤瓷...[详情]

唯美品牌
郑州唯美口腔医院
  • 时间:10月20日
  • 摘要:唯美口腔加入郑州人民医院医疗集团
  • 地点:郑州唯美口腔
  • 详情 → 咨询 →
郑州唯美口腔医院
  • 时间:每周一、周五亲诊
  • 摘要:矫正专家亲诊
  • 地点:郑州唯美口腔
  • 详情 → 咨询 →
特邀专家

有牙齿困扰 在线找专家

专家热线:0371-55019113

专家团队
精彩专题
> 微创即刻种植牙
> 隐适美隐形矫正
> 360°彩光美白
> 超薄牙贴面
> 3D全瓷牙

豫公网安备 41010502002633号

免责声明:本网站近期将进行改版,网站所有内容及图片不做为任何法律依据。如有违反或者侵权,请及时联系更改。

网站医疗信息仅供参考,不能作为诊断及医疗依据 本网站内容部分来源转载于网络,不能作为任何法律依据!

请注意时效性,望知悉。如有违反或者侵权,请及时联系更正。