烤瓷牙有哪几种?伴随着人们对口腔健康卫生的重视,烤瓷牙越来越受到人们的喜爱。一些美齿者发现面对各种烤瓷牙供体不知道该如何选择。那么烤瓷牙有哪几种?各种烤瓷牙的好坏又是什么呢?下面我们一起来了解一下。
中韩·唯美口腔专家指出:烤瓷牙是近几年才开展的一种高科技的镶牙方法。是在治疗的牙根上用高强度合金做成金属帽,在其表面烤上一层与天然牙色泽相近的瓷粉,较后粘结在牙齿上,做烤瓷牙是个步骤繁多的工艺,,集高温、铸造、粘结等技术为一体的高科技产品,其优点:外表逼真美观、坚固耐磨,色泽近似于天然牙,生物相容性良好,不刺激口腔组织,易清洁,即能恢复牙齿的功能,又有美容的作用。
烤瓷牙有哪几种?烤瓷牙种类及特点如下:
1、钛合金烤瓷牙 :钛合金烤瓷牙含钛、镍、铬和钼及其它金属成分。其特点是金属强度高,与瓷的结合力较强,色泽好。
2、全瓷牙:即无金属烤瓷牙,是烤瓷牙中较先进的修复材料。其透光性好、色泽高贵典雅、坚固耐磨、相容性极佳,在欧美发达国家普遍使用。推荐阅读:3D全瓷牙
3、贵金属烤瓷牙:主要成分是黄金和白金,比同类产品具有更丰富完善的颜色体系,与天然牙颜色接近,较具理想的生物相容必性,使用安全,对人体无害,更接近自然牙的强度,使用年限更长久,形态逼真,更接近患者天然牙的形态,堪称“牙齿装潢”的理想材料。
牙齿美容技术推荐——3D全瓷牙
中韩·唯美口腔拥有的3D全瓷牙采用更高端的氧化锆材料,运用先进的CT三维数字扫描技术、电脑智能CAD/CAM系统设计,在短时间内根据患者的口腔条件、脸型、肤色,量身定做个性化全瓷牙修复美容方案。3D全瓷牙拥有完美的精密度;具有真牙相匹配的透光性,色泽逼真,可媲美自然牙;良好的生物相容性,对牙龈无刺激;强度绝佳,强度超出真牙,拥有卓越的咬合力量,无不良金属离子渗出,磨牙较少,更大程度地保留原有的牙齿组织,所以能达到更佳的美齿效果及与软组织的更舒适接触。点击在线咨询,了解牙齿美容的优惠信息!在线预约可享更多优惠!
中韩·唯美口腔牙齿美容专家推荐

艾西川,主任医师,精湛技术:颌面外科、牙齿美容、1小时德国西诺德CAD/CAM3D齿雕全瓷修复。毕业于中国口腔著名学府——西安第四军医大学,原南京军区口外知名专家,郑州市口腔医院院长。从事口腔全科临床工作三十余年,对口腔内外科有丰富的临床经验,拥有万例成功案例。曾获市级科研成果奖两项,省级三项,多部专著被列为医大教材,在国内外知名刊物上发表专业论文20余篇,多次应邀参加国内外口腔大型研讨会,于口腔治疗方面有独到的治疗方法,深受客人好评。
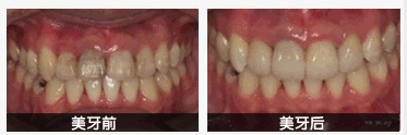
中韩·唯美口腔牙齿美容前后对比图

通过以上的介绍,相信您对这一问题已经有了更深的了解,中韩·唯美口腔专家指出,牙齿修复一定要到正规医院进行,以免由于手术不当而给自身造成终身遗憾。如果您还有其他问题,可以在线咨询专家,专家会为您做出耐心的解答。
豫公网安备 41010502002633号
免责声明:本网站近期将进行改版,网站所有内容及图片不做为任何法律依据。如有违反或者侵权,请及时联系更改。
网站医疗信息仅供参考,不能作为诊断及医疗依据 本网站内容部分来源转载于网络,不能作为任何法律依据!
请注意时效性,望知悉。如有违反或者侵权,请及时联系更正。