影响烤瓷牙价格的因素?选择烤瓷牙修复牙齿出现的问题,能够让我们远离牙齿缺陷所带来的烦恼。而另一方面环境制约事物的发展,而烤瓷牙的价格也是有许多因素所制约的,下面我们来了解一下烤瓷牙价格的影响因素。
影响烤瓷牙价格的因素
1、顾客的牙齿情况影响:每个人口腔牙齿结构不同,牙齿缺失的部位、数量及牙齿缺损程度的不同,烤瓷牙修复的难易程度不同,导致了烤瓷牙价格的不同。
2、做烤瓷牙的医院影响:正规医院对比街头的小诊所价格自然要高.正规医院无论是治疗技术、还是所选用的材料,还有卫生环境都比小诊所、小医院好很多,价格自然不一样。
3、做烤瓷牙医生的技术影响:还有求美者自身的口腔条件也直接影响贵金属烤瓷牙多少钱一颗.比如在做烤瓷牙手术之前,若是你牙床内多长一颗牙齿或者存在其他口腔问题,就要求医生具备更好的技术,花费更多的时间来制作安装烤瓷牙,这也是影响烤瓷牙多少钱一颗的一个原因。
4、烤瓷牙的材料影响:烤瓷牙多少钱一颗之所以有这么大的差距,就是因为进行烤瓷牙手术,会用到不同的材料,所以,就有不同的烤瓷牙多少钱一颗。推荐阅读:3D全瓷牙
牙齿美容技术推荐——3D全瓷牙
中韩·唯美口腔拥有的3D全瓷牙采用更高端的氧化锆材料,运用先进的CT三维数字扫描技术、电脑智能CAD/CAM系统设计,在短时间内根据患者的口腔条件、脸型、肤色,量身定做个性化全瓷牙修复美容方案。3D全瓷牙拥有完美的精密度;具有真牙相匹配的透光性,色泽逼真,可媲美自然牙;良好的生物相容性,对牙龈无刺激;强度绝佳,强度超出真牙,拥有卓越的咬合力量,无不良金属离子渗出,磨牙较少,更大程度地保留原有的牙齿组织,所以能达到更佳的美齿效果及与软组织的更舒适接触。点击在线咨询,了解牙齿美容的优惠信息!在线预约可享更多优惠!
中韩·唯美口腔牙齿美容专家推荐

莫三心教授,主任医师,硕士研究生导师。唯美口腔特邀专家,河南省口腔医学领域知名专家、郑州大学知名教授。精湛技术:牙齿种植、口腔修复、牙齿美容修复曾多次获得卫生部及省市各级表彰。主编多部并且参与编写多部国家医学教材,发表学术论文20余篇。擅于口腔修复,并涵盖口腔专业各个领域,可谓是大师级的口腔专家,在国内口腔界享有很高的声望。
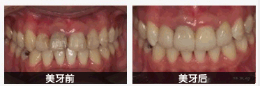
中韩·唯美口腔牙齿美容前后对比图

通过以上的介绍,相信您对这一问题已经有了更深的了解,中韩·唯美口腔专家指出,牙齿修复一定要到正规医院进行,以免由于手术不当而给自身造成终身遗憾。如果您还有其他问题,可以在线咨询专家,专家会为您做出耐心的解答。
豫公网安备 41010502002633号
免责声明:本网站近期将进行改版,网站所有内容及图片不做为任何法律依据。如有违反或者侵权,请及时联系更改。
网站医疗信息仅供参考,不能作为诊断及医疗依据 本网站内容部分来源转载于网络,不能作为任何法律依据!
请注意时效性,望知悉。如有违反或者侵权,请及时联系更正。