正畸治疗费用,很多人由于小时候经济条件的制约,即使长了一口难看的牙齿,也没有及时的进行矫正,等到长大后,经济条件稍微宽裕一些了,却还是不忘小时候的苦,想花点儿钱把自己的丑牙给重新包装一下,但是价格问题一直都是人们更为关注的,那么正畸治疗多少钱?下面听听郑州唯美口腔医院的介绍。

正畸治疗费用,专家指出,正畸治疗方法目前也是多样化的,目前可供成人矫正的方法有普通矫正,隐形矫正,美容冠这三种技术。当然在这里面价格都是不同的,患者朋友可根据自己的经济实力进行选择。
不得不给大家介绍的是,这三种技术其实相对而言,各自有自己的优缺点。
、普通正畸
普通矫正是一种传统的正畸方式,就是用粘结剂将矫正装置粘固于牙齿上,患者不能自行摘戴,只能由正畸医师装拆、调整加力。需要每个月复诊一次,医生逐渐加力使牙齿移动,达到设计的理想状态,正畸工作基本结束。拆除矫治器以后还要戴一段时间保持器,以巩固正畸成果,防止复发。
第二、隐形矫正
唯美金牌推荐-隐适美隐形矫正技术
1、唯美隐形矫正的每一副矫治器都是根据您的即时牙齿数据定制,每一副的更换,都代表着牙齿矫正进行的一个全新阶段。
2、采用先进纳米技术精制而成,完全透明、光滑,牙症者戴用时美观、舒适。
3、矫治器可以自行摘戴,基本在家自己完成即可。与传统固定矫治相比,口腔卫生易于维护,不影响进食、刷牙、社交活动等日常生活。
4、在矫治开始前即可在计算机上模拟显示整个矫治过程中患者牙颌的变化过程,实现了矫治过程的效果预测。
5、易于摘带,更加容易清洁,给牙齿一个干净卫生的“居住环境”,杜绝了牙损伤和牙周病。
第三、美容冠
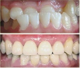
唯美3d仿生美容冠,引进全新牙冠修复技术,采用上乘仿生全瓷材料,中韩专家联袂亲诊,个性化定制美牙方案,纯自然光牙色对比,为快速矫正成人畸形牙提供多种修复方案,效果美观自然,坚固耐用。
唯美“美容冠”技术具有美牙不拔牙,不伤牙齿、牙龈,无不良反应,多年后牙龈不易出现黑线等优点,全程无痛,高效快捷,采用德国3D齿雕系统,美容冠从取模--设计--制作-安装 到试戴整个安装过程,一气呵成,用时只需1小时。治疗后牙色真实自然,持久不变色,坚固耐磨,如按医嘱进行保养,可相伴终生。
正畸治疗费用,郑州市金水区唯美口腔是一家化高端口腔私人会所,汇集了来自中韩的知名口腔专家,他们学术高超、技术上乘、经验丰富,会为您带来不一样的美牙之旅。如还有什么疑问,可以点击我们的在线专家,我们将为您提供详细的解答。
相关感兴趣文章
豫公网安备 41010502002633号
免责声明:本网站近期将进行改版,网站所有内容及图片不做为任何法律依据。如有违反或者侵权,请及时联系更改。
网站医疗信息仅供参考,不能作为诊断及医疗依据 本网站内容部分来源转载于网络,不能作为任何法律依据!
请注意时效性,望知悉。如有违反或者侵权,请及时联系更正。