牙齿反颌有哪些治疗办法?牙齿整齐洁白对爱美人士来说,关系着个人形象的完美,牙齿反颌是一种不常见的牙齿畸形,给我们的健康及形象带来不小的影响。一定要及时进行牙齿矫正,那么牙齿反颌有哪些治疗办法?
牙齿反颌就是牙齿畸形的一种,一般采用牙齿矫正来解决问题,牙齿反颌的几种治疗方法:
1、前方牵引矫正装置:适于合并上颌发育不足、下颌前突的早期骨骼型前牙反颌,可在替牙期或恒牙初期使用。
2、功能性矫正器:适于早期骨骼型前牙反牙和功能性前牙反颌,可在替牙期,特别是替牙晚期使用。
3、可摘式上颌:垫舌簧矫正器,可用于任何前牙反颌的矫正,可以单独使用,也可以与其他整形装置例如颏兜等及矫正器例如固定器结合使用。了解更多牙齿矫正,点击在线咨询,直接与专家相互交流,详细咨询!
4、头帽与牵引颏兜矫正装置:适于早期骨骼型前牙反颌并下颌前突的患者。可在乳牙晚期、替牙期或恒牙初期使用。可与口内矫正器,例如牙垫舌簧矫正器,结合使用。
中韩·唯美口腔牙齿矫正技术推荐
中韩·唯美口腔率先引进的韩式四维隐形正畸技术继承了传统的牙颌畸形矫治的理念,是现代口腔医学、计算机辅助四维诊断、个性化设计及数字化成型技术的完美结合,是正畸领域的新突破。韩式四维隐形正畸由知名专家坐诊,实现全程无痛无创快速疗法,专门治疗各种牙齿排列不整齐,咬合错位等牙齿形态问题,还你一口整齐、坚固耐用的健康原牙。推荐阅读:韩式隐形正畸
中韩·唯美口腔牙齿矫正专家推荐

李玉如,口腔正畸科。副教授,副主任医师,硕士生导师,口腔医学正畸专业硕士。1991年毕业于中山医科大学口腔系,一直从事口腔正畸的临床、教学和科研工作,临床经验丰富,并注重知识的学习更新,2004年硕士学位毕业。擅长正畸科各类牙颌畸形及疑难病例的矫治,对青少年反牙合、开牙合、功能性矫治、阻生牙的导萌牵引及成年人牙颌畸形、牙周病的正畸治疗有良好的疗效。点击在线咨询,了解牙齿矫正的优惠信息!在线预约可享更多优惠!
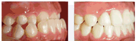
中韩·唯美口腔牙齿矫正前后对比图

温馨提示:牙齿矫正手术要求比较严格,医疗机构的选择要慎重。更多疑问,点击在线咨询,由专家为您详细解答。中韩·唯美口腔医院是一家正规专业的种植牙机构,是您牙齿保健和牙病治疗的理想医疗机构。
相关感兴趣文章
豫公网安备 41010502002633号
免责声明:本网站近期将进行改版,网站所有内容及图片不做为任何法律依据。如有违反或者侵权,请及时联系更改。
网站医疗信息仅供参考,不能作为诊断及医疗依据 本网站内容部分来源转载于网络,不能作为任何法律依据!
请注意时效性,望知悉。如有违反或者侵权,请及时联系更正。