烤瓷牙的优点有哪些?展现魅力笑容,享自信生活。当然离不开一口健全美观洁白的牙齿,但是生活中,我们对牙齿的使用不可避免的会出现牙齿变色,缺损等问题。烤瓷牙是牙齿修复常用的方法,那么烤瓷牙的优点有哪些呢?
什么是烤瓷牙
中韩·唯美口腔专家介绍:烤瓷牙,即烤瓷熔附金属全冠又称金属烤瓷联合冠(metal-ceramiccrown)。其是瓷粉经过高温烧结熔附于金属内冠表面而形成的全冠修复体。金属烤瓷冠目前临床使用更多的全冠修复体,兼有铸造金属全冠机械强度好和全瓷冠美观的优点,是一种较理想的修复体。烤瓷牙优点:
1、良好的边缘封闭:
烤瓷牙的制作要求边缘贴合,在龈下1mm处,加上专用非水溶性的粘结材料,就保证了边缘的密封。
2、美观:
颜色可调制成真牙颜色一样,永久不变色,全瓷牙颜色更理想,折光性都跟真牙一致,(钛、黄金、白金)。
3、良好的生物相容性:
特别是生物贵金属制作的瓷牙和全瓷牙,因其电的化学惰性而具有抗腐蚀性,组织无过敏,而普通的不锈钢瓷牙,戴用一段时间,龈缘则可见一暗灰色的边缘。
4、极高的强度:
金嘱与陶瓷粉在高温下熔融结合在一起后,足以承受口腔内的咀嚼力,贵金属与陶瓷牙结合力更强大。推荐阅读:烤瓷牙效果好吗
5、保护牙体硬组织和牙髓
因为需做烤瓷牙的牙齿往往是变色龋坏多的牙齿,烤瓷冠制作完成后,整个真牙就被金色围在中间,咀嚼时的力量作用在牙冠上,不会折裂或崩掉,而粘结瓷牙冠的粘结剂及瓷层,有良好的绝缘性,防止了外界刺激对牙髓的伤害。推荐阅读:3D全瓷牙
中韩·唯美口腔牙齿美容技术推荐
中韩·唯美口腔拥有的3D全瓷牙采用更高端的氧化锆材料,运用先进的CT三维数字扫描技术、电脑智能CAD/CAM系统设计,在短时间内根据患者的口腔条件、脸型、肤色,量身定做个性化全瓷牙修复美容方案。3D全瓷牙拥有完美的精密度;具有真牙相匹配的透光性,色泽逼真,可媲美自然牙;良好的生物相容性,对牙龈无刺激;强度绝佳,强度超出真牙,拥有卓越的咬合力量,无不良金属离子渗出,磨牙较少,更大程度地保留原有的牙齿组织,所以能达到更佳的美齿效果及与软组织的更舒适接触。点击在线咨询,了解牙齿美容的优惠信息!在线预约可享更多优惠!
中韩·唯美口腔牙齿美容专家推荐

艾西川,主任医师,精湛技术:颌面外科、牙齿美容、1小时德国西诺德CAD/CAM3D齿雕全瓷修复。毕业于中国口腔著名学府——西安第四军医大学,原南京军区口外知名专家,郑州市口腔医院院长。从事口腔全科临床工作三十余年,对口腔内外科有丰富的临床经验,拥有万例成功案例。曾获市级科研成果奖两项,省级三项,多部专著被列为医大教材,在国内外知名刊物上发表专业论文20余篇,多次应邀参加国内外口腔大型研讨会,于口腔治疗方面有独到的治疗方法,深受客人好评。
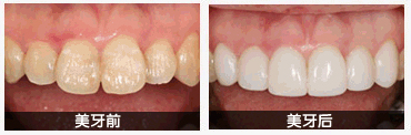
中韩·唯美口腔牙齿美容前后对比图

如果您还有想要了解的情况,可以点击我们的在线咨询,中韩·唯美口腔的在线专家会给您更专业,更详细的解答,或是拨打我们的24小时康复热线,与专家一对一详解。
相关感兴趣文章
豫公网安备 41010502002633号
免责声明:本网站近期将进行改版,网站所有内容及图片不做为任何法律依据。如有违反或者侵权,请及时联系更改。
网站医疗信息仅供参考,不能作为诊断及医疗依据 本网站内容部分来源转载于网络,不能作为任何法律依据!
请注意时效性,望知悉。如有违反或者侵权,请及时联系更正。