郑州美容冠要多少钱?牙齿严重变色或是错过更佳矫正时期的成年人牙齿畸形,又或是做过烤瓷牙后出现了失败的现象,我们都可以选择美容冠来解决。美容冠对牙齿问题的修复突出在全面性,根本性上,能够彻底的让我们远离牙齿问题的烦忧,那么郑州美容冠要多少钱呢?
郑州美容冠要多少钱?美容冠价格的影响因素
1、爱美者自身情况
不同的人,牙齿情况是不同的,有的人是因为牙齿拥挤,有的是因为牙齿不齐,当然还有龅牙。不同的牙齿情况,需要治疗的手术难度也会增加,牙齿治疗方案也是各不相同,同时爱美者选择的美容冠材料也是影响价格的主要因素,价格方面也会产生差异。你的牙齿情况是怎样的呢?点击在线咨询,直接与专家对话了解详情!在线预约可享更多优惠!
2、爱美人士选择的医院
每家医院的等级是不同的,这决定着医院设备的先进程度和专家的技术水平也是不一样的,正规专业的医院,引进的大多是先进美牙设备,在治疗牙齿手术效果方面有所保证,而专家都是通过国家验证拥有医师资格证书,因此在手术安全方面更加有所保障,同时正规专业的医院不会出现乱收费现象,收费透明,让爱美人士花更少的钱达到更好的美牙效果。
3、美容冠的材料
美容冠的材料决定了价格差异的主要原因,美容冠的材料有很多,有陶瓷,合金,当然还有贵金属。因此不同材质的美容冠,所需要的价格也是不一样的,当然它的美牙效果和特性方面也是存在着差异,而且爱美者牙齿的实际情况也是影响美容冠难度的重要因素之一,龅牙,牙齿拥挤和牙齿不齐等这些牙齿情况,采取的美容冠方案也是各不相同,当然价格方面也会产生差异。推荐阅读:3D美容冠
中韩·唯美口腔引进的美容冠是一种流行于欧美、日韩的牙齿美容技术,可以很好的改变各种原因造成的牙齿缺损现象,不仅能够矫治色素牙、畸形牙,同样的,对蛀牙也有神奇效果。而且这还是一种很安全的方法,使用这种方法不会造成对牙齿的伤害,只要磨除牙齿上被蛀牙侵蚀的部分,然后再用美容冠保护起来就无需担心蛀牙会再次发作了。而且术后的牙齿也自然美观,和真牙没有区别,也不会让别人知道你曾经做过牙齿美容手术。美容冠修复给患者带来了更加理想的治疗修复效果,有效的避免了牙齿稀疏、黑线、绷瓷等现象,效果非常理想。它采用的是全新科技的粘贴技术,美牙不脱落。数据分析显示,经“美容冠”美容后的牙齿至少可以承受50公斤拉力。而且相比传统修复方法美容冠具有高效快速的优点。点击在线咨询,了解牙齿美容的优惠活动!在线预约可享更多优惠!
中韩·唯美口腔牙齿美容专家推荐

莫三心教授,主任医师,硕士研究生导师。唯美口腔特邀专家,河南省口腔医学领域知名专家、郑州大学知名教授。精湛技术:牙齿种植、口腔修复、牙齿美容修复曾多次获得卫生部及省市各级表彰。主编多部并且参与编写多部国家医学教材,发表学术论文20余篇。擅于口腔修复,并涵盖口腔专业各个领域,可谓是大师级的口腔专家,在国内口腔界享有很高的声望。
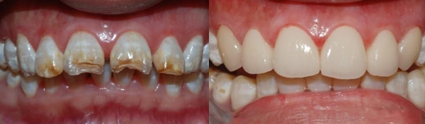
中韩·唯美口腔牙齿美容前后对比图

如果您还有想要了解的情况,可以点击我们的在线咨询,中韩·唯美口腔在线专家会给您更专业,更详细的解答,或是拨打我们的24小时康复热线,与专家一对一详解。
相关感兴趣文章
豫公网安备 41010502002633号
免责声明:本网站近期将进行改版,网站所有内容及图片不做为任何法律依据。如有违反或者侵权,请及时联系更改。
网站医疗信息仅供参考,不能作为诊断及医疗依据 本网站内容部分来源转载于网络,不能作为任何法律依据!
请注意时效性,望知悉。如有违反或者侵权,请及时联系更正。