美容冠的常见问题?美容冠是目前修复牙齿更好的方法,能够很好的在修复我们的牙齿问题的时候,让我们的牙齿看上去更加的美观。而对于美容冠还是有很多朋友存在疑问的。下面跟随郑州知名口腔科专家来了解一下!
有的人牙齿已经拔髓了怎么办
中韩·唯美口腔口腔专家说,不要轻易拔牙,牙齿拔髓后就失去了神经,没有营养供给,必需要通过“美容冠”技术来保护,否则拔除牙髓的牙齿很容易变色、碎裂,到时候再治疗就麻烦一些了。
美容冠技术对牙齿有伤害吗
美容冠技术无痛、不拔牙、不伤及牙根,仅仅磨除一部分牙体进行预备,这个过程也是完全安全、无痛的。
中韩·唯美口腔专家说,磨牙是为了开辟一个让能修复体固位的良好的空间,是保证修复体强度、厚度和美观的一个必不可少的步骤,既保证牙体的制备质量与固位,又不影响牙齿的健康,不损伤牙髓,同时改善了牙齿的正常功能和美观效果。
做过美容冠后能看出来吗
注意牙齿颜色和皮肤颜色的协调、牙齿外形与面部五官大小比例协调。
美容冠采用德国VITA-26阶比色技术,选择更适宜肤色的自然牙齿颜色,并通过3D定位技术对牙齿大小、方向、形态、色泽进行综合分析测量,设计个性化方案。美容冠的内冠是瓷,是一种透明的骨架,层次、色泽接近真牙,对光线的反射更接近天然牙。导热性能很低,是黄金的1/17,这样更利于保护牙髓;质量轻,密度是黄金的1/4,佩戴更舒适。推荐阅读:3D美容冠
中韩·唯美口腔的3D美容冠利用三维数码立体成像技术,将美学和口腔医学完全融合,根据个人肤色、脸型、牙列特点,利用更新激光雕刻技术,制定出与本人更为匹配的牙齿形态。并运用先进比色技术,依照真牙颜色,通过29层颜色对比分析,使成形后的牙冠与真牙达到完美的色调统一,自然逼真 。 3D美容冠具有高机械强度、高硬度、高耐磨性、高耐腐蚀性等优点,突破了传统烤瓷牙的限制,并与牙齿边缘紧密贴合,使牙髓、牙神经得到有效保护。避免了冷、热、酸、甜带来的对牙髓过敏性刺激。 而且3D美容冠制作精良,采用先进品质烤瓷材料,经更高标准严格测试、检验、审批,具有超完美的生物兼容性,能与口腔基牙更密贴,完全亲和,其硬度可与金属相媲美,完全不必担心崩裂,耐用超过20年,甚至终身。点击在线咨询,了解美容冠的优惠信息!在线预约可享更多优惠!
中韩·唯美口腔牙齿美容专家推荐

艾西川,副主任医师,精湛技术:颌面外科、牙齿美容、1小时德国西诺德CAD/CAM3D齿雕全瓷修复。毕业于中国口腔著名学府——西安第四军医大学,原南京军区口外知名专家,郑州市口腔医院院长。从事口腔全科临床工作三十余年,对口腔内外科有丰富的临床经验,拥有万例成功案例。曾获市级科研成果奖两项,省级三项,多部专著被列为医大教材,在国内外知名刊物上发表专业论文20余篇,多次应邀参加国内外口腔大型研讨会,于口腔治疗方面有独到的治疗方法,深受客人好评。
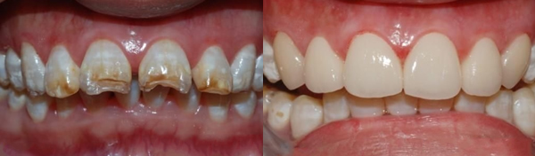
中韩·唯美口腔牙齿美容前后对比图

在线咨询,一分钟预约挂号,医务人员将会与您一对一进行沟通。中韩·唯美口腔有中国更专业的网上挂号平台,为您提供更便捷的预约就诊服务,为您推荐全国资质更深、技术更好的治疗专家,让你从此刻开始摆脱疾病的困扰。
相关感兴趣文章
豫公网安备 41010502002633号
免责声明:本网站近期将进行改版,网站所有内容及图片不做为任何法律依据。如有违反或者侵权,请及时联系更改。
网站医疗信息仅供参考,不能作为诊断及医疗依据 本网站内容部分来源转载于网络,不能作为任何法律依据!
请注意时效性,望知悉。如有违反或者侵权,请及时联系更正。