欢迎进入郑州市金水区唯美口腔

预约专家

在线咨询

免费咨询热线 0371-55019113

网站首页 > 郑州牙齿修复 > 镶牙补牙 >

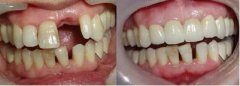
郑州口腔医院补一颗牙多少钱?

来源 :郑州唯美口腔医院        时间:2013-04-19 17:24:36 进入专家答疑区 在线咨询 | 预约专家

    郑州口腔医院补一颗牙多少钱?一口洁白无瑕的牙齿,可以从侧面展现你的健康,使你魅力无限,成为晚宴上万众瞩目的焦点和走在时尚前沿的代言人.可是牙齿缺损的话,这些都将与你无关,为了美丽的人生我们可以选择补牙来弥补这些缺陷,郑州有很多的正规口腔医院,我们补牙要选择可靠有保障的医院,那郑州口腔医院补一颗牙多少钱?

  首先,患者牙齿龋病的程度、部位及病变的程度不一,造成了补牙难易的程度不同,从而在极大程度上造成了补颗牙齿要多少钱的不同。

  其次,患者对补牙材料的选择及是否进行牙冠的修复,不同的补牙材料其性能有着一定的区别,而是否进行牙冠的修得,则在很大程度上影响着重庆补牙价格,一般来说如果龋洞较大,为防止补牙材料的脱落,牙科医师一般会建议进行牙冠的修复。而往往正规医院技术先进,往往效果上更具保障。

  更后,郑州补一颗牙齿要多少钱根据郑州不同牙科机构之间的是不一样的,正规、专业的牙科机色按国家标准进行收费,更规范,而私人诊所由于设备、技术、消毒等方面的不到位,极易引发一系列口腔问题的发生。推荐阅读:补牙材料哪种好

  【温馨提示】如果你发现自己有了牙洞,一定要尽早治疗,否则牙洞发展的越来越大,补牙收费也越来越贵。如果牙齿坏到了一定程度,就不是单纯的补牙就可以了,需要根管治疗,那么价格就要贵了。

  郑州唯美口腔医院聚集了来自全国的一批优秀的医疗、护理和管理人才,具有一支经过严格选拔和培训的护士队伍。引进了多项与同步的先进设备和技术。先进而全面的医疗设备和规范有序的管理,充分保障了人们的安全和健康。

  如果您觉得我们的文章没有解释的很清楚,或者还有其他疑问,您可以直接点击我们的在线咨询医生,我院专业咨询医生会给您耐心的,详细的解答,并给您一个满意的答复!

 

浏览本篇文章的网友

27%
选择了:
在线医师坐诊,快速悉知病情!
39%
选择了:
在线医师坐诊,快速悉知病情!
分享到:

扫一扫
把郑州唯美
加为好友

相关感兴趣文章

拔牙后可以补牙吗

当牙齿没有利用价值的时候,人们进行拔牙是很有必要的,但是在拔完牙齿以后,人们还是要进......[详情]

蛀牙补牙贵吗

平时日子中,龋齿损害一直存在咱们身边,稍不留意,就会患上龋齿,这时牙疼,牙酸都会呈现......[详情]

补牙在哪家医院比较好

补牙是针对蛀牙进行有效的牙齿修复方式,所以很多蛀牙患者为了牙齿挤口腔健康想去口腔医院......[详情]

门牙断了补一颗牙要多少钱

通常对于有了蛀牙的牙齿我们都会选择补牙治疗的,因为补牙不仅能阻止蛀牙的继续发展,还能......[详情]

唯美品牌
  • 时间:10月20日
  • 摘要:唯美口腔加入郑州人民医院医疗集团
  • 地点:郑州唯美口腔
  • 详情 → 咨询 →
  • 时间:每周一、周五亲诊
  • 摘要:矫正专家亲诊
  • 地点:郑州唯美口腔
  • 详情 → 咨询 →
特邀专家

有牙齿困扰 在线找专家

专家热线:0371-55019113

专家团队
精彩专题
> 微创即刻种植牙
> 隐适美隐形矫正
> 360°彩光美白
> 超薄牙贴面
> 3D全瓷牙

豫公网安备 41010502002633号

免责声明:本网站近期将进行改版,网站所有内容及图片不做为任何法律依据。如有违反或者侵权,请及时联系更改。

网站医疗信息仅供参考,不能作为诊断及医疗依据 本网站内容部分来源转载于网络,不能作为任何法律依据!

请注意时效性,望知悉。如有违反或者侵权,请及时联系更正。