27岁还可以做牙齿矫正吗,许多人错过了牙齿矫正的黄金时期,在成年以后才觉得牙齿矫正的重要性,那么,27岁还能做牙齿矫正吗?对于这个问题看看以下的介绍吧!

郑州牙科医院郑州唯美口腔医院专家说,一般更佳的矫正年龄是在11-16岁,但是随着技术的改进,正畸是不分年龄的,有40多岁来做治疗的,只要选择适合个人的矫正方案效果是很不错的。
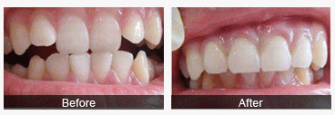
牙套矫正可以选择隐形正畸技术,隐形正畸术是进口的矫正专利技术,比传统牙套矫正更先进,避免了传统矫正时间长,异物感强,材料和技术要求不高等弊端,针对带牙套矫正,有隐形,半隐形等矫正器选择,舒适美观,矫正过程可以结合面相三亭五眼,使矫正之后,脸型,下巴,嘴型立体感更强的。此外要想快速矫正,也可以选择美容冠技术。
郑州唯美口腔医院推荐--3D仿生美容冠
郑州唯美3d仿生美容冠,引进全新牙冠修复技术,采用上乘仿生全瓷材料,中韩专家联袂亲诊,个性化定制美牙方案,纯自然光牙色对比,为快速矫正成人畸形牙提供多种修复方案,效果美观自然,坚固耐用。
郑州唯美“美容冠”技术具有美牙不拔牙,不伤牙齿、牙龈,无不良反应,多年后牙龈不易出现黑线等优点,全程无痛,高效快捷,采用德国3D齿雕系统,美容冠从取模--设计--制作-安装到试戴整个安装过程,一气呵成,用时只需1小时。治疗后牙色真实自然,持久不变色,坚固耐磨,如按医嘱进行保养,可相伴终生。推荐阅读:24岁牙齿矫正晚不晚?
唯美是专业、专注、专一的牙齿美容机构
郑州唯美口腔医院秉承一贯的品牌形象,打造高端、优美的就诊环境;在专家团队建设上,先后与美国、瑞士、德国、韩国、日本、香港、台湾等地知名的口腔医疗机构开展经验技术交流活动,吸纳、汇聚了诸多国内外着名专家、学者投身于口腔医疗服务事业之中,培养并拥有一支医技精湛的齿科专家团队,逐步形成接轨、领先的口腔美容服务及管理模式。
27岁还可以做牙齿矫正吗,如果您对以上的内容,还有任何不明白的地方,欢迎点击在线咨询,与专家进行一对一交流,同时网上咨询预约,还可享免挂号费,无需排队优先就诊服务。
相关感兴趣文章
豫公网安备 41010502002633号
免责声明:本网站近期将进行改版,网站所有内容及图片不做为任何法律依据。如有违反或者侵权,请及时联系更改。
网站医疗信息仅供参考,不能作为诊断及医疗依据 本网站内容部分来源转载于网络,不能作为任何法律依据!
请注意时效性,望知悉。如有违反或者侵权,请及时联系更正。