常说,父爱是一缕阳光,让我们的心灵即使在寒冷的冬天也能感到温暖如春;母爱是一泓清泉,让我们的情感即使蒙上岁月的风尘依然纯洁明净。无论我们走到哪里,父母对我们的爱早已溶入骨血之中,时时刻刻温暖着我们的心灵。
![]() |
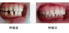
感恩是一种美德 也是一种责任 岁月总是不经意间从身边划过,我们在享受父母关爱的同时是否在意到他们年龄渐渐大了,牙齿也缺失了,昔日的笑容渐渐暗淡了。牙齿缺失不仅给他们身体带来创伤,更给他们的心灵抹上了一层阴霾。这时,我们该拿什么来回报父母深沉的爱呢?感恩父母,就为父母种一口完美的牙齿吧,尽一份孝心,送父母一生的微笑。 |
父母牙齿缺失的问题您放在心上了吗?
| 牙齿缺失 吃饭没有味道 | 牙齿缺失 发音吐字不清 | 牙齿缺失 身体每况愈下 | 牙齿缺失 让我倍显老态 |
![]() |
![]() |
![]() |
![]() |
|
自从牙齿缺失
再也吃不了坚硬的东西
再多的美食
也只能望洋兴叹
吃饭没有了味道 生活也没了乐趣 |
牙齿掉光了
发音吐字开始变得不清楚 没有人愿意跟我交流 其实 我多希望 有很多人陪着我
一起说话一起笑
|
牙齿掉了 口腔问题接踵而来 牙周病、牙周炎、牙疼 让我茶不思饭不想 身体不再硬朗 让我不得不承认自己老了 |
没有了牙齿 我显得更老衰老 其实老年人也爱美 也有自己的生活圈子 我多希望能年轻一点 做一些自己喜欢的事情 |
|
|
|
|
唯美即刻微创种植牙 还父母一口健康好牙!
| 牙齿种植也叫人工牙齿种植,并不是真的种上自然牙齿,而是通过医学方式,将与人体骨质兼容性高的纯钛金属经过精密的设计,制造成类似牙根的圆柱体或其他形状,以外科小手术的方式植入缺牙区的牙槽骨内,经过1~3个月后,当人工牙根与牙槽骨密合后,再在人工牙根上制作烤瓷牙冠。因不具破坏性,牙齿种植已被口腔医学界公认为缺牙的理想修复方式。由于人工牙深植牙骨内,可承受正常的咀嚼力量,功能和美观上几乎和自然牙一样,因此,被人们称为人类的第三副牙齿。......(详细) |
什么是即刻微创种植牙
| 中韩·唯美口腔目前所采用的微创即刻种植技术是由韩国著名口腔集团历经20年的不断摸索、实践、总结精研而成,其微创性及精细化在世界种植领域开创先河。微创即刻种植技术骨结合更牢,排斥率极低;手术时间更短,全程微创,舒适无痛;外形逼真,宛若天生,是全球公认的、更先进的牙齿种植技术,摆脱了传统种植牙繁琐低效的步骤,大大缩短了种植所需的时间,全口种植仅需30分钟,不仅领先中国传统的种植牙技术,更是超越了欧美的一些种植技术。[详情咨询] |
![]() |
![]() |
![]() |
| 更新核心技术 “快、准、精、微” 种植金标准 四大优势 无可比拟 |
![]() |
唯美口腔目前独有的微创即刻种植技术是目前更先进的种植牙技术,也是目前牙齿种植学科的金标准,微创即刻种植技术一经推出,即受到广大中老年患者的青睐追捧。有别于以往传统种植牙的弊端,微创即刻种植牙更具临床优势,成活率更高可达98.6%,其核心大致可总结为‘快、准、精、微’四个字。
![]() |
快 即拔即种 5-10分钟 一次成型 传统种植需要经历修养期、伤愈后再二次种植这样一个漫长过程。即刻种植将种植体在拔牙同时一次性植入,植入过程仅需5-10分钟,种植一次成型 |
![]() |
准 准确定位 精确植入 无缝对接 唯美口腔拥有普兰梅卡口腔ct全景机立体扫描采集口腔信息,把握种植角度,深度,吻合度,精确定位、精确植入,无缝对接牙床,避免传统种植的弊端 |
![]() |
精 细节精微 环节精细 技术精湛 唯美口腔注重植入过程中的每个细节精微性和环节精细性,根据患者牙床骨质密度、高度、宽度精确定位,用精湛的植入技巧,精确将种植体嵌入牙槽骨,一气呵成 |
![]() |
微 微小切口 微创无痛 快速愈合 植入精巧,精确定位,只需微小切口(3-4毫米)精确植入牙骨,告别传统种植牙切翻牙肉、缝合、拆线等步骤,将创伤降低到更小程度,全程无痛,实现出血少,恢复快 |
| 微创即刻种植牙 PK 传统种植牙 |
![]() |
| 传统种植牙 | 微创即刻种植牙 | |
| 手术时间 | 手术需一个多小时 | 种植过程仅需5-10分钟 |
| 种植过程 | 拔牙后需3个月修养期,伤愈后再二次开刀种植,种植后不能立即吃东西。 | 即拔即种,可将种植体在拔牙同时一次性植入,无需二次开刀种植,种植后可立即吃东西。 |
| 准确程度 | 采用传统牙片机摄影,重迭影像容易造成医生误判,从而破坏种植者的神经、鼻窦。 | 借助口腔三维全景机立体扫描采集口腔信息,医生可全面把握种植角度,深度,吻合度,并避开危险区域,精确植入,无缝对接。 |
| 精细程度 | 主要依据经验来控制种植牙的角度和深度,容易产生误差。 | 会根据种植者牙床骨质密度、高度、宽度精确定位,精确植入。 |
| 牙齿功能 | 固位较差、咀嚼功能较弱,和真牙区别较大。 | 固位性好、咀嚼功能强大,美观舒适、酷似真牙。 |
| 技术特点 | 传统齿科治疗技术,没有先进的种植设备和技术支撑,难以保障种植效果。 | 综合全景机诊断、电脑设计、外科导航及微创外科,是目前全球更先进的种植牙技术。 |
| 操作医生 | 一般的牙科医生,没有经过专业培训。 | 牙齿种植领域的知名专家 |
| 手术创伤 | 种植过程需切开牙龈、缝合、拆线,创伤大、出血多、恢复慢,术后易发生肿痛、出血、感染等。 | 只需微小切口(3-4毫米),精确植入牙骨,告别传统种植牙切开、翻开牙肉、缝合、拆线等步骤,将创伤降低到更小程度,手术安全无副作用。 |
|
微创种植 手术亮点 |
微创即刻种植技术针对牙槽骨情况好的患者可以即刻种植即刻修复,就是种完马上有牙齿,马上安装牙冠,而不需要像传统种植牙埋入3个月后割开做二期修复,二期修复2个星期后拆线,拆完线再等一个星期才能带牙。解决了大部分患者对种植牙等待时间的疑虑问题。 | |
|
|
专家提醒 有牙周病需要进行系统治疗,在知名医生指导下完成。种植牙前应对骨质进行评估,牙槽骨条件不佳者须进行骨引导或骨重塑再生长,以保障种植条件。种植牙咬合设计非常重要,所以植牙时选择水平高经验丰富的医生特别重要。如有疑问,欢迎点击在线咨询或者拨打免费热线:400-0371-886 |
唯美知名种植牙专家 因为专业,所以卓越!
![]() |
知名教授 |
![]() |
知名专家 |
| 唯美口腔主任医生 | 唯美口腔主任医师 | ||
| 擅长技术:即刻种植、口腔修复、牙齿美容修复、口腔内科 | 擅长技术:即刻种植、颌面外科、3d齿雕全瓷修复 | ||
|
主要荣誉: 中华口腔医学会理事;河南口腔医学领域知名专家、郑大知名教授;河南省医学会口腔专业委员会委员 |
主要荣誉: 口腔美容修复专家;从事口腔工作临床三十余年,拥有万例成功案例,曾获市级科研成功两项,省级三项 |
||
| 莫三心 教授 | 在线咨询 坐诊时间 | 艾西川 专家 | 在线咨询 坐诊时间 |
唯美口腔先进设备 引领行业标杆!三维口腔全景ct 德国智能头颅测量仪
![]() |
唯美口腔引进的芬兰普兰梅卡全景机通过对颞下颌关节侧面及开、闭口、前后等口腔部位的摄影,为牙齿种植提供准确的影像依据。医师以此科学数据为基础,根据矫正者的口腔条件、脸形、肤色,量身定制个性化的牙齿种植方案。 |
![]() |
德国全智能头颅测量仪通过测位、正位、模型及颈椎年龄的分析,结合面部结构、脸形特征等因素,对牙齿角度进行精细化分析,避免医生凭借经验诊断,。精确的四维定位,让牙齿种植达到完美境界。 |
郑州唯美口腔:专业的牙齿种植专家 》》》免费咨询了解更多《《《
01知名口腔:郑州唯美口腔医院是以牙齿种植、牙齿美容、牙齿修复、牙齿矫正、牙齿正畸治疗、口腔治疗、口保健预防为特色的口腔专科医院;是卫生部门批准的知名口腔美容医疗机构,全国口腔医学会会员单位,中韩合作种植牙基地,口腔生态美学指定单位。
02先进设备:引进口腔成像先进技术Promax3d口腔CT,德国cerec-3D齿雕系统。依靠三维数码成像技术,精密测量,科学设计方案,电脑精确速导牙齿矫正监测,精确安全。
03卓越品质:唯美口腔的管理严格遵循美国齿科协会ADA的标准,实行的是标准的四手操作医疗体系,由医生与助手共同完成治疗工作;所有器械均经过严格的消毒,主要材料均为进口优质材料,完全杜绝交叉感染,进而保证了治疗的质量。
04优质服务:人性化设计的候诊休息区,诊疗区全部单间诊室布局,实现“一人一机一诊室”唯美口腔为您建立口腔健康档案,及时回访、定期提醒等,为您提供全程管家式口腔健康服务。

唯美口腔专家温馨提醒:如果您觉得我们的文章没有解释的很清楚,或者还有其他疑问,您可以直接点击我们的在线咨询医生,我院专业咨询医生会给您耐心的,详细的解答,并给您一个满意的答复!
相关感兴趣文章
豫公网安备 41010502002633号
免责声明:本网站近期将进行改版,网站所有内容及图片不做为任何法律依据。如有违反或者侵权,请及时联系更改。
网站医疗信息仅供参考,不能作为诊断及医疗依据 本网站内容部分来源转载于网络,不能作为任何法律依据!
请注意时效性,望知悉。如有违反或者侵权,请及时联系更正。