NOBEL种植牙系统
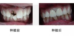
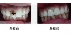
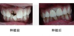
瑞典诺贝尔种植体微创、痛苦小:瑞典诺贝尔种植体采用微创种植技术,生物相容性好,无毒无副作用,无磁性、无刺激,在体内稳定;湿润性好,不易附着有机物,能与人体完全相融,一旦植入,很快能生长与人类牙齿成分相同的骨结合,不会产生排斥反应。这便是瑞典NOBEL种植牙被誉为使用终生的种植体的根本原因。在完成美齿设计方案后,医生就可以约患者来接受手术,从开始准备到完全成功植入,患者只需进行一次无切口、不翻瓣、无缝合的微创手术治疗,就能拥有一口美观漂亮的固定义齿,而且治疗过程中患者无不适感,不影响患者日常生活和工作。
简介
瑞典诺贝尔种植体微创、痛苦小:瑞典诺贝尔种植体采用微创种植技术,生物相容性好,无毒无副作用,无磁性、无刺激,在体内稳定;湿润性好,不易附着有机物,能与人体完全相融,一旦植入,很快能生长与人类牙齿成分相同的骨结合,不会产生排斥反应。这便是瑞典NOBEL种植牙被誉为使用终生的种植体的根本原因。在完成美齿设计方案后,医生就可以约患者来接受手术,从开始准备到完全成功植入,患者只需进行一次无切口、不翻瓣、无缝合的微创手术治疗,就能拥有一口美观漂亮的固定义齿,而且治疗过程中患者无不适感,不影响患者日常生活和工作。
瑞典诺贝尔种植体整个过程完全透明化:电脑自动化处理患者的口腔三维CT数据,经计算机模拟确定种植体的精确位置,制作出引导手术的可视化的电脑模板,医生和患者均可以预先看到的精确的手术模型和种植效果,方便医患双方进行有效的术前沟通。
瑞典诺贝尔种植体种植过程电脑引导,让种植牙更加精确快捷,安全高效:种植牙过程由电脑控制并完全按照电脑模板进行,如果医生在手术过程对植入的位置和深度掌握稍有偏差,电脑会自动停止手术操作,从而确保植入部位的精确和安全。因为是根据电脑模板的引导处理,手术时间短,常规种植每颗牙平均只需5-10分钟左右,使一小时种出一口美牙成可能。
概述
诺贝尔种植系统:这套系统因其创始人Branenark教授而得名,又因其生产厂家而被称为Nobelpharma系统。Branenark种植体的结构是一种典型的埋植型两段式种植系统,即首次手术将植入体埋入颌骨后缝合黏膜切口,使植入体在封闭环境中完成骨整合(上颌平均为6个月,下颌平均为3个月)后,再施行第二次手术,显露种植体,安装基台。第二次手术1-2周后即可印模开始修复体制做程序。Branenark种植系统在长期观察成功方面具有无可争议的领先地位,是更经典的成功的种植系统。
Branenark1965年在瑞典应用该系统完成的首例种植支持式固定桥,目前仍在行使功能。该系统的种植体系统用纯度达到99.75%的纯钛(其它成份组成为:铁0.05%,氮0.03%,碳0.05%,氢0.012%)制成。从结构上看,Branenark种植体表面是精细的螺纹起伏的结构,从而使其表面积因螺纹状结构起伏而增大螺纹状结构,也使得外科植入时,较易旋入就位。螺纹结构的设计经过严格的生物力学分析和测试,使之自然地增加表面积的同时,通过螺纹状结构分配了受力,Branenark种植系统是经典的种植系统,其极高的及一整套标准、系统的外科植入技术及修复设计制作方案作为口腔种植的标准操作规范。
种植过程
1、采印模制作放射导板:按照常规要求制作放射导板,在患者口腔中试戴,做放射颌记录及用牙胶做放射标点8-10个点。
2、CT扫描:CT应用GE VCT,采用二次扫描法,患者戴放射导板及颌记录进行次扫描,扫描的层间距为小于0.5mm,然后单独对放射导板进行扫描。后将扫描的资料存盘为DICOM文件。
3、颌骨三维重建:将扫描的DICOM文件倒入具有Nobel-Guide软件的计算机内,进行颌骨三维重建,在三维重建后的颌骨内将种植体安放到合适的位置,从而进行更佳手术方案的设计,确认设计方案无误后将设计方案通过网络传到瑞典的NobelBiocare工厂,利用CAD/CAM进行手术导板的制作,制作完成后将导板寄回,备用。
4、进行种植手术:常规进行种植手术准备,手术前应先进行Nobel-Guide手术导板的试戴,调整合适后,再进行种植手术。采用不翻瓣技术,进行窝洞的制备及种植体的植入。应用的种植体为Nobel Biocare Replace Groovy RPφ3.5×13mm,术后进行X线检查。
5、修复: 安放临时基台、临时冠即刻负重四个月后更换Procera基台,Procrea全瓷冠永久修复。
系统优势

1、感觉舒适:种植完成后牙齿感觉向天然牙一样,由于不需要活动假牙必备的基拖与卡环,没有大面积基拖导致的味觉迟钝和不舒适感,种植牙在口腔内的感觉比传统修复技术更舒适,患者普遍认为种植牙没有异物感。
2、无损伤:无需切磨邻近的天然牙,对邻牙毫无损伤。
3、长久保持咀嚼功能:具有很强的固位力与稳定性,更有效的恢复牙齿的咀嚼功能,可象真牙一样扎根在患者口腔内,这一优点在进食和说话时尤其突出。种植牙的失败率低于人类自身牙齿的失牙率,有近四十年以上还在完好使用种植牙的病例。
4、方便清洁:因为种植牙是仿自然牙,所以清洁种植牙就和清洁自然牙一样,不像传统的活动假牙需要摘下来清洗。与邻牙间保存有自然间隙,不露金属,美观清洁。有利于保持口腔清洁卫生。
5、没有痛苦:种植牙的手术很小,无需住院,手术过程完全无痛,术后即可进食。
温馨提示:并非每个患者都可种植牙,种植牙手术有一定的适应性,例如患有出血性疾病、高血压、心脏病、糖尿病等全身疾病的患者,需要在此病治疗稳定后,才可接受牙种植术。所以患者需要医院由专业医师进行口腔检查,拍全景X光片和做血液常规检查,才可确定是否适合手术。
其他种植系统
韩国Dentis种植系统在上拥有较高的口碑,远销世界二十多个国家,并在韩国本土取得众多专利设计,尤其在2006年取得的专利和实用设计多达五项:
1、带有切割边缘的种植体设计(专利号:10-0598937)
2、无携带体螺丝刀设计(注册号:20-041297)
3、种植体基台设计(注册号:20-0417745)
4、牙钻延长器设计(注册号:20-0420256)
5、种植体形态设计(注册号:20-0424914)
相关感兴趣文章
豫公网安备 41010502002633号
免责声明:本网站近期将进行改版,网站所有内容及图片不做为任何法律依据。如有违反或者侵权,请及时联系更改。
网站医疗信息仅供参考,不能作为诊断及医疗依据 本网站内容部分来源转载于网络,不能作为任何法律依据!
请注意时效性,望知悉。如有违反或者侵权,请及时联系更正。