儿童牙列不齐怎么解决?更近调查显示,少年儿童中,有很大比例或多或少地存在牙列不齐的问题,家长一定要对孩子的牙齿发育多关注,保持好良好的习惯,以免产生对健康成长不利的危害,那么儿童牙列不齐怎么解决?
儿童牙列不齐不是一定要去做牙齿矫正,根据具体情况选择适合的方法,一般只要对美观没有影响,不存在功能问题,未必一定要牙齿矫正。
过去曾有人提出,12岁是做牙齿矫正的更佳年龄。但事实上,孩子刚换完牙齿后做矫正效果更好。但需要注意的是,有时乳牙长得不好,也会影响牙齿以后的发育,这时矫正乳牙也就势在必行了。因此,家长更好从孩子四五岁时,就多多注意观察他们的牙齿,一旦发现异常,应尽早带孩子到医院接受诊断。
矫正前,一定要注意口腔卫生,如果出现了牙齿龋坏、牙龈发炎,一定要等治愈后再“整形”;矫正时要注意,口腔正畸不只是戴矫正器这么简单,有些患者的牙齿可能过于拥挤,空间不够,这时就需要拔掉一个或几个牙齿,才能保证其更终的美观。
戴上矫正器后,则要注意口腔的清洁。矫正器的表面往往不那么光滑,食物容易粘在上面,这就需要刷牙时细心地将残渣除去。了解更多牙齿矫正,点击在线咨询,直接与专家相互交流,详细咨询!
此外,矫正器是比较精细的装置,需要精心呵护,尽量避免吃很硬的食物,刷牙时动作也要轻一些,以防由于矫正器受损而影响了治疗效果。刚开始戴矫正器的一段时间,有些人可能会有牙齿酸胀甚至疼痛,需要患者们有心理准备,相信难关终将渡过。
中韩·唯美口腔牙齿矫正技术推荐
中韩·唯美口腔率先引进的韩式四维隐形正畸技术继承了传统的牙颌畸形矫治的理念,是现代口腔医学、计算机辅助四维诊断、个性化设计及数字化成型技术的完美结合,是正畸领域的新突破。韩式四维隐形正畸由知名专家坐诊,实现全程无痛无创快速疗法,专门治疗各种牙齿排列不整齐,咬合错位等牙齿形态问题,还你一口整齐、坚固耐用的健康原牙。推荐阅读:韩式隐形正畸
中韩·唯美口腔牙齿矫正专家推荐

李玉如,口腔正畸科。副教授,副主任医师,硕士生导师,口腔医学正畸专业硕士。1991年毕业于中山医科大学口腔系,一直从事口腔正畸的临床、教学和科研工作,临床经验丰富,并注重知识的学习更新,2004年硕士学位毕业。擅长正畸科各类牙颌畸形及疑难病例的矫治,对青少年反牙合、开牙合、功能性矫治、阻生牙的导萌牵引及成年人牙颌畸形、牙周病的正畸治疗有良好的疗效。点击在线咨询,了解牙齿矫正的优惠信息!在线预约可享更多优惠!
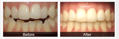
中韩·唯美口腔牙齿矫正前后对比图

温馨提示:以上是对儿童牙列不齐的介绍,希望家长对孩子的牙齿发育多注意,及早预防牙齿疾病的形成,更多疑问,可以随时点击我们中韩·唯美口腔医院的在线咨询,由在线专家将给出更专业、更知名的解答。
相关感兴趣文章
豫公网安备 41010502002633号
免责声明:本网站近期将进行改版,网站所有内容及图片不做为任何法律依据。如有违反或者侵权,请及时联系更改。
网站医疗信息仅供参考,不能作为诊断及医疗依据 本网站内容部分来源转载于网络,不能作为任何法律依据!
请注意时效性,望知悉。如有违反或者侵权,请及时联系更正。