人的青春期是更为疯狂的,因为这段时间我们都在慢慢变得成熟,精力也比较旺盛,是我们发展的黄金时期。而对于畸形牙齿的矫正也是存在更佳时期的,那么这一时期是什么时候呢?牙齿矫正的更佳年龄是在什么时候呢?
中韩·唯美口腔专家介绍:为了美观,牙齿矫正越来越发的普遍了,很多人想问牙齿矫正的更佳的年龄是多少呢?其实专业上来说,只要牙周条件健康,牙齿矫正是和年龄没有什么太大的关系的,因为牙齿是可以终身移动的,不过当到达一定年龄,比如老年人因为心脏病等原因,我们是不推荐或说没必要进行牙齿矫正了;虽然说牙齿矫正和年龄并没有绝对的限制,但是不同的年龄段有不同的限制,比如成年人接受全面的牙齿矫正治疗时会有更多的限制,因为牙齿咬合问题实际上市因为上下颌骨发育不良所引起的,而成年人的面部和骨骼已基本定型,所以有时候要结合牙齿矫正和颌面外科手术的方法,才能矫正成年人颌骨发育的偏差。
对于孩子的牙齿矫正来说分为以下三个阶段:
乳牙期阶段:一般是4到5岁,这个时期主要适用于地包天,早期矫治有利于上颌骨发育,预防恒牙反颌。如果孩子有伸舌、咬唇等不良习惯,在这个阶段可以得到纠正,预防错颌的发生。
替牙期阶段:(女孩:8—10岁,男孩:9—12岁),在替牙阶段如果发现孩子有咬唇、伸舌、前伸下颌等不良习惯,以及面型异常和牙齿排列异常等情况,应及时到医院找正畸专业医师检查,确定是牙性、功能性还是骨性错颌畸形,明确治疗方案。
恒牙期阶段:(女孩:11—14岁,男孩:13—15岁):此时,孩子的牙齿已替换完,骨骼基本定型,一般常见的错颌畸形在这个阶段都可以得到很好的治疗。
牙齿矫正技术推荐——韩式隐形正畸技术
中韩·唯美口腔率先引进的韩式隐形正畸技术继承了传统的牙颌畸形矫治的理念,是现代口腔医学、计算机辅助四维诊断、个性化设计及数字化成型技术的完美结合,是正畸领域的新突破。韩式隐形正畸由中韩齿科专家联合坐诊,实现全程无痛无创快速疗法,专门治疗各种牙齿排列不整齐,咬合错位等牙齿形态问题,还你一口整齐、坚固耐用的健康原牙。推荐阅读:韩式隐形矫正
该技术是完全个性化的设计理念,可根据正畸者的情况佩带不同的矫治器,完全不影响正畸者的生活。具有隐形高效,稳定美观的特点,并且大大地缩短了疗程,使治疗时间缩短近三分之一,复诊时间缩短二分之一,为正畸者大大节省了时间,透明隐形正畸矫正矫治器厚度不到1mm,透明、光滑、舒适,无异物感和粘膜刺激,是目前更受欢迎和信赖的美齿项目。点击在线咨询,了解牙齿矫正的优惠信息!在线预约可享更多优惠!
中韩·唯美口腔牙齿矫正专家推荐

李玉如,口腔正畸科。副教授,副主任医师,硕士生导师,口腔医学正畸专业硕士。1991年毕业于中山医科大学口腔系,一直从事口腔正畸的临床、教学和科研工作,临床经验丰富,并注重知识的学习更新,2004年硕士学位毕业。
擅长正畸科各类牙颌畸形及疑难病例的矫治,对青少年反牙合、开牙合、功能性矫治、阻生牙的导萌牵引及成年人牙颌畸形、牙周病的正畸治疗有良好的疗效。
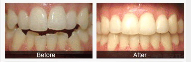
中韩·唯美口腔牙齿矫正前后对比图

如果您还有想要了解的情况,可以点击我们的在线咨询,中韩·唯美口腔的在线专家会给您更专业,更详细的解答,或是拨打我们的24小时康复热线,与专家一对一详解。
相关感兴趣文章
豫公网安备 41010502002633号
免责声明:本网站近期将进行改版,网站所有内容及图片不做为任何法律依据。如有违反或者侵权,请及时联系更改。
网站医疗信息仅供参考,不能作为诊断及医疗依据 本网站内容部分来源转载于网络,不能作为任何法律依据!
请注意时效性,望知悉。如有违反或者侵权,请及时联系更正。