牙齿矫正有什么好处?人不能自卑,却不能没有自信,很多人因为牙齿不齐变得沮丧,自信心也渐渐失去,爱美是人的天性,何况现今的社会,形象已经成为一个人的张名片,患上牙齿疾病就要及时去治疗。牙齿不齐可以通过牙齿矫正修复,那么牙齿矫正有什么好处?
牙齿矫正通过治疗牙齿不齐等牙齿疾病,对人体各方面都产生了积极影响,牙齿矫正的好处有以下几点:
一、外表形象的改善:牙齿矫正对人们相貌的影响是更直接的,人的五官即使长得再完美,但是如果配上一口参差不齐的牙齿,那么这张脸就不能称之为完美,而原因当然就是那可恨的参差不齐的牙齿了
二、心理性格的改善:牙齿不齐对形象的改变,往往很容易引起内心心理的变化,旁人的冷嘲热讽和歧视都会是性格向不好的放向发展,牙齿矫正一定程度上改善了患者的心理性格。
三、口腔功能的改善:牙齿功能通过牙齿矫正,解决了发音和咀嚼的障碍,对发音等口腔功能改善了很多。了解更多牙齿口腔功能,点击在线咨询,与专家一对一交流,详细了解!
四、身体健康的改善 :牙齿不齐导致咀嚼食物不完全,容易加重胃肠的消化负担,影响一个人的身体健康,牙齿矫正正好改变了这一点。
中韩·唯美口腔牙齿矫正技术推荐
中韩·唯美口腔率先引进的韩式四维隐形正畸技术继承了传统的牙颌畸形矫治的理念,是现代口腔医学、计算机辅助四维诊断、个性化设计及数字化成型技术的完美结合,是正畸领域的新突破。韩式四维隐形正畸由知名专家坐诊,实现全程无痛无创快速疗法,专门治疗各种牙齿排列不整齐,咬合错位等牙齿形态问题,还你一口整齐、坚固耐用的健康原牙。
韩式四维隐形正畸技术是完全个性化的设计理念,可根据正畸者的情况佩带不同的矫治器,完全不影响正畸者的生活。具有隐形高效,稳定美观的特点,并且大大地缩短了疗程,使治疗时间缩短近三分之一,复诊时间缩短二分之一,为正畸者大大节省了时间,透明韩式四维隐形正畸矫正矫治器厚度不到1mm,透明、光滑、舒适,无异物感和粘膜刺激,是目前更受欢迎和信赖的美齿项目。推荐阅读:韩式隐形正畸
中韩·唯美口腔牙齿矫正专家推荐

李玉如,口腔正畸科。副教授,副主任医师,硕士生导师,口腔医学正畸专业硕士。1991年毕业于中山医科大学口腔系,一直从事口腔正畸的临床、教学和科研工作,临床经验丰富,并注重知识的学习更新,2004年硕士学位毕业。擅长正畸科各类牙颌畸形及疑难病例的矫治,对青少年反牙合、开牙合、功能性矫治、阻生牙的导萌牵引及成年人牙颌畸形、牙周病的正畸治疗有良好的疗效。点击在线咨询,了解牙齿矫正的优惠信息!在线预约可享更多优惠!
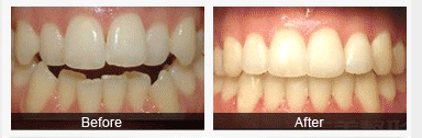
中韩·唯美口腔牙齿矫正前后对比图

温馨提示:通过以上的介绍大家已经对牙齿矫正的优势的具体内容有了大概的了解,如果您还有什么疑问,或者还想了解更过关于此方面的知识,欢迎随时咨询我们中韩·唯美口腔的在线专家,给您一个满意的答复。
相关感兴趣文章
豫公网安备 41010502002633号
免责声明:本网站近期将进行改版,网站所有内容及图片不做为任何法律依据。如有违反或者侵权,请及时联系更改。
网站医疗信息仅供参考,不能作为诊断及医疗依据 本网站内容部分来源转载于网络,不能作为任何法律依据!
请注意时效性,望知悉。如有违反或者侵权,请及时联系更正。