牙齿矫正过程中需要注意些什么?生活水平的提高,人们对健康就更加重视了,牙齿畸形等问题也得到了解决,可是有些人的效果却不是很理想,唯美口腔专家分析,多是对牙齿口腔保护不周所致,那么牙齿矫正过程中需要注意些什么?
牙齿矫正手术完成并不意外着彻底完成,还是需要患者保持一段时间,牙齿矫正过程中要注意以下几个方面:
1、注意饮食:固定矫治器是用教固剂将矫治器粘结到牙齿上,正畸期间尽量避免食用过硬的食物,以免损坏矫治器零件,使矫治力量中断,延长疗程.此外,为了防止蛀牙也应该少食用甜食.
2、注意口腔卫生:戴用活动矫治器或固定矫治器都要保持口腔卫生,尤其是固定矫治器,由于矫治器粘固在牙齿上,不能取下刷牙,且矫治器周围极易存留食物残渣,造成细菌大量繁殖.因此,患者要养成饭后刷牙的习惯,每次刷牙不少于5分钟,采用横竖交替法,使用含氟牙膏,活动矫治器也要用牙膏刷洗干净.了解更多牙齿矫正,点击在线咨询,直接与专家相互交流,详细咨询!
3、定期复诊:牙齿矫正治疗需要不断加力调整,所以需要病人按照医嘱定期到医院复诊,调整矫治力度达到更佳的矫治效果.
中韩·唯美口腔牙齿矫正技术推荐
中韩·唯美口腔率先引进的韩式四维隐形正畸技术继承了传统的牙颌畸形矫治的理念,是现代口腔医学、计算机辅助四维诊断、个性化设计及数字化成型技术的完美结合,是正畸领域的新突破。韩式四维隐形正畸由知名专家坐诊,实现全程无痛无创快速疗法,专门治疗各种牙齿排列不整齐,咬合错位等牙齿形态问题,还你一口整齐、坚固耐用的健康原牙。
韩式四维隐形正畸技术是完全个性化的设计理念,可根据正畸者的情况佩带不同的矫治器,完全不影响正畸者的生活。具有隐形高效,稳定美观的特点,并且大大地缩短了疗程,使治疗时间缩短近三分之一,复诊时间缩短二分之一,为正畸者大大节省了时间,透明韩式四维隐形正畸矫正矫治器厚度不到1mm,透明、光滑、舒适,无异物感和粘膜刺激,是目前更受欢迎和信赖的美齿项目。推荐阅读:韩式隐形正畸
中韩·唯美口腔牙齿矫正专家推荐

李玉如,口腔正畸科。副教授,副主任医师,硕士生导师,口腔医学正畸专业硕士。1991年毕业于中山医科大学口腔系,一直从事口腔正畸的临床、教学和科研工作,临床经验丰富,并注重知识的学习更新,2004年硕士学位毕业。擅长正畸科各类牙颌畸形及疑难病例的矫治,对青少年反牙合、开牙合、功能性矫治、阻生牙的导萌牵引及成年人牙颌畸形、牙周病的正畸治疗有良好的疗效。点击在线咨询,了解牙齿矫正的优惠信息!在线预约可享更多优惠!
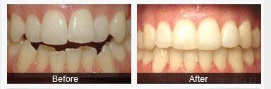
中韩·唯美口腔牙齿矫正前后对比图

温馨提示:牙齿矫正一定要到正规医院去诊治,平时多注意对牙齿口腔的保护,避免术后效果不理想,如果您对矫正方面还有其他疑问,可直接向我们中韩·唯美口腔医院的在线专家免费咨询!专家届时会针对您的问题,给出专门个人的诊疗方案。欢迎点击在线咨询。
相关感兴趣文章
豫公网安备 41010502002633号
免责声明:本网站近期将进行改版,网站所有内容及图片不做为任何法律依据。如有违反或者侵权,请及时联系更改。
网站医疗信息仅供参考,不能作为诊断及医疗依据 本网站内容部分来源转载于网络,不能作为任何法律依据!
请注意时效性,望知悉。如有违反或者侵权,请及时联系更正。