牙齿矫正有什么不良反应?日常生活中,我们的牙齿总会出现一些不协调的现象,为了牙齿整齐美观,或者牙齿功能的恢复,我们选择采用牙齿矫正的方法,作为医学手术的一部分,那么牙齿矫正有什么不良反应?
在医学领域,治病的同时可能会产生一些副作用,以下是牙齿矫正的一些不良反应:
1、牙齿变松动:在正常情况下,每个牙都有一定的生理动度以便能缓冲咀嚼压力,防止牙齿受创伤。在做矫正治疗时,牙齿松动度增加,这是正常反应。
2、对牙髓的影响:在治疗初期,牙髓内产生轻度的、暂时性的炎症反应,表现为患者在加力的头几天内有疼痛或不适感,但实验证明,这种影响是没有临床意义的。
3、对牙根的影响:牙齿矫正时,牙根表面也发生着吸收、增生这种重建活动。治疗后,牙根凭着自身修复能力而恢复正常,但如果治疗中加力过大,会增加牙根吸收的危险性。了解更多牙齿矫正,点击在线咨询,直接与专家相互交流,详细咨询!
4、对牙槽骨高度的影响:做过正畸治疗的人,牙槽骨高度都会有少量的降低,这是由于戴矫治器使口腔卫生不易保持,增加患牙龈炎的机会,对牙槽骨有一定的影响,在治疗完成后,牙槽骨不会再继续发生吸收,如果口腔卫生保持好,牙槽骨会逐渐恢复正常。
中韩·唯美口腔牙齿矫正技术推荐
中韩·唯美口腔率先引进的韩式四维隐形正畸技术继承了传统的牙颌畸形矫治的理念,是现代口腔医学、计算机辅助四维诊断、个性化设计及数字化成型技术的完美结合,是正畸领域的新突破。韩式四维隐形正畸由知名专家坐诊,实现全程无痛无创快速疗法,专门治疗各种牙齿排列不整齐,咬合错位等牙齿形态问题,还你一口整齐、坚固耐用的健康原牙。推荐阅读:韩式隐形正畸
中韩·唯美口腔牙齿矫正专家推荐

李玉如,口腔正畸科。副教授,副主任医师,硕士生导师,口腔医学正畸专业硕士。1991年毕业于中山医科大学口腔系,一直从事口腔正畸的临床、教学和科研工作,临床经验丰富,并注重知识的学习更新,2004年硕士学位毕业。擅长正畸科各类牙颌畸形及疑难病例的矫治,对青少年反牙合、开牙合、功能性矫治、阻生牙的导萌牵引及成年人牙颌畸形、牙周病的正畸治疗有良好的疗效。点击在线咨询,了解牙齿矫正的优惠信息!在线预约可享更多优惠!
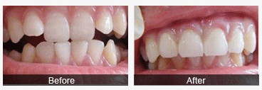
中韩·唯美口腔牙齿矫正前后对比图

温馨提示:如果你还有什么不明白的地方,欢迎来口腔医院或直接咨询在线专家,专家们会为你详细介绍。中韩·唯美口腔是您身边的贴心口腔专家,确保为每一位求美者量身制定、精心雕琢,为您打造完美的形象。
相关感兴趣文章
豫公网安备 41010502002633号
免责声明:本网站近期将进行改版,网站所有内容及图片不做为任何法律依据。如有违反或者侵权,请及时联系更改。
网站医疗信息仅供参考,不能作为诊断及医疗依据 本网站内容部分来源转载于网络,不能作为任何法律依据!
请注意时效性,望知悉。如有违反或者侵权,请及时联系更正。