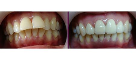
郑州隐形牙齿矫正的效果如何,现如今,有不少人因为牙齿畸形的情况而苦恼,牙齿畸形对个人的形象和口腔的健康影响还是比较明显的。甚至对工作社交也会带来诸多不便。因此,牙齿畸形的朋友不可轻视,及早选择正规的口腔医院进行矫正才是关键。隐形牙齿矫正是目前比较受欢迎的一种矫正方法。那么,郑州隐形牙齿矫正的效果如何?

郑州牙齿矫正哪家好?郑州唯美口腔的专家介绍,牙齿矫正对于现代人来说已经不是什么新鲜的事情了,很多青少年都会做牙齿矫正,一方面为了形象的美观,另一方面则是为了个人的健康。牙齿畸形,的表现形式多种多样,畸形的程度也各有不同,主要包括牙齿位置、咬合关系的单一或联合异常导致的畸形。
隐形矫正技术用来进行牙齿正畸,整个牙齿矫正过程无人可以察觉的一种矫正方法。突破传统矫正技术用来进行牙齿正畸,也现在常见的矫正方法之一。郑州唯美口腔引进的隐形矫正技术,给想美牙者们带来了希望。
与传统矫正方式相比,隐形矫正的优点:
1、矫正过程更美丽
3D数码隐形矫正技术,不须要托槽和钢丝,采纳的是一系列隐形矫治器,由弹性透明高分子材料制成,使矫正过程几乎在旁人无察觉中完成。
2、安全舒适更力
隐形矫正器厚度不到1mm,光滑舒适,戴用时不会有明显的异物感。由于不使用托槽、钢丝等,极减少了矫正过程的痛苦。隐形矫治器可以自行摘戴,患者可以在吃饭、刷牙、甚至约会时取下矫治器,口腔卫生易于维护,大大减少了牙龈炎和牙齿变色等固定矫治常见的并发症的发生。推荐阅读:郑州牙齿矫正要多长时间
3、个性化设计更有效
牙齿隐形矫正技术,是口腔医学、计算机辅助三维诊断、个性化设计及数字化成型技术在正畸领域的更新应用。隐形矫冶采纳的是个性化的设计理念,每一个矫治器都是为患者特地设计,经过三维诊断软件,医生还可以在矫治前在计算机上模拟临床上的牙齿移动方式,逐步达到矫治目标,也让患者更清楚地感受到矫治后的完美形象,从而实现了错合畸形矫治模拟过程及结果的三维可视化。
郑州隐形牙齿矫正的效果如何?通过以上的介绍,想必大家也有所了解了。郑州更好的口腔医院郑州唯美口腔拥有知名专家团队、一流的硬件设备、精湛高超的医疗技术、高效个性的诊疗方案、安全科学的无菌保障、极具人性化的服务理念为社会各界人士提供优质的诊疗服务。如果对牙齿矫正还有不明白的地方,可在线咨询我们的口腔专家。
相关感兴趣文章
豫公网安备 41010502002633号
免责声明:本网站近期将进行改版,网站所有内容及图片不做为任何法律依据。如有违反或者侵权,请及时联系更改。
网站医疗信息仅供参考,不能作为诊断及医疗依据 本网站内容部分来源转载于网络,不能作为任何法律依据!
请注意时效性,望知悉。如有违反或者侵权,请及时联系更正。