欢迎进入郑州市金水区唯美口腔

郑州唯美口腔医院周年庆预约专家

郑州唯美口腔医院周年庆在线咨询

郑州唯美口腔医院周年庆免费咨询热线 0371-55019113

首页 > 郑州牙齿矫正 > 牙齿矫正 >
郑州唯美口腔医院

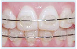
陶瓷托槽牙套矫正牙齿效果好吗

来源 :郑州唯美口腔医院        时间:2015-04-11 11:22 进入专家答疑区 在线咨询 | 预约专家
  陶瓷托槽牙套矫正牙齿效果好吗,随着牙齿矫正技术的发展,牙齿矫正的方法也越来越多,陶瓷托槽牙套是牙齿矫正方法的一种。陶瓷托槽牙套因为是半透明的,而戴上后又不容易被人发觉 ,因此它又被称为半透明隐形牙套,那么,陶瓷托槽牙套矫正牙齿效果好吗?
陶瓷托槽牙套矫正牙齿效果好吗
 
  郑州牙齿矫正哪家好?郑州唯美口腔专家介绍,陶瓷托槽牙齿矫正的托槽是由高强度的瓷材料加工而成,其 色泽透明、自然,与人体天然牙的颜色非常接近,因而在戴用陶瓷托槽矫治器后的美观度大大提高。
 
  这种技术与以往的"钢丝牙套"有很大区别,它是运用先进的3D电脑影像科技来设计整个诊疗计划,可根据患者口腔状况,利用航天科技材料,量身定做个性化透明牙套。
 
  使用透明陶瓷托槽牙套矫正,整个矫正过程自然美观、安全舒适,还可自行取下,便于清洁,防止蛀牙或牙周病的形成,不会影响日常工作和生活,目前很多的青少年和成年人都会选择戴这种牙套。
 
  【牙齿矫正的过程疼吗】
 
  正畸治疗不会像拔牙、钻牙一样有明显的疼痛,它是根据生物力学原理,对牙齿施以温和而持久的力量,在不知不觉中完成牙齿的滑动,而又不损伤牙齿及其周围组织。推荐阅读:在郑州做牙齿矫正需要多少钱
 
  陶瓷托槽牙套矫正牙齿效果好吗?通过以上的介绍,想必大家也有了一定的了解。郑州更好的牙科医院郑州唯美口腔专家提醒:牙齿矫正方法的选择和自身的牙齿情况有一定的关系,只有选择适合的矫正方法,效果才是更好的。如果对牙齿矫正还有什么不明白的地方,可在线咨询我们的口腔专家。

浏览本篇文章的网友

27%
选择了:郑州唯美口腔医院
在线医师坐诊,快速悉知病情!
39%
选择了:郑州唯美口腔医院
在线医师坐诊,快速悉知病情!
分享到:郑州唯美口腔医院
郑州唯美口腔医院

扫一扫
把郑州唯美
加为好友

郑州唯美口腔医院

相关感兴趣文章

14岁女孩一颗前牙矫正行吗?

14岁女孩一颗前牙矫正行吗?

网友咨询说,女儿今年14岁了,一颗前牙矫正行,但是因为牙齿还没换完的关系,不知道能...[详情]

带牙套多少钱一般

带牙套多少钱一般

大家应该都知道牙套是用来矫正牙齿的,有很多牙齿畸形的人却没有选择佩戴牙套,原因也...[详情]

隐形牙齿矫正有什么不良后果

隐形牙齿矫正有什么不良后果

隐形牙齿矫正有什么不良后果吗,整齐美观的牙齿,可以增加个人的魅力,提升气质。在如...[详情]

矫正牙齿多大年纪合适

矫正牙齿多大年纪合适

牙齿矫正是改善牙齿畸形最有效的方法,尤其现在的地包天、牙齿不齐、龅牙等这些常见的...[详情]

唯美品牌
郑州唯美口腔医院
  • 时间:10月20日
  • 摘要:唯美口腔加入郑州人民医院医疗集团
  • 地点:郑州唯美口腔
  • 详情 → 咨询 →
郑州唯美口腔医院
  • 时间:每周一、周五亲诊
  • 摘要:矫正专家亲诊
  • 地点:郑州唯美口腔
  • 详情 → 咨询 →
特邀专家

有牙齿困扰 在线找专家

专家热线:0371-55019113

专家团队
精彩专题
> 微创即刻种植牙
> 隐适美隐形矫正
> 360°彩光美白
> 超薄牙贴面
> 3D全瓷牙

豫公网安备 41010502002633号

免责声明:本网站近期将进行改版,网站所有内容及图片不做为任何法律依据。如有违反或者侵权,请及时联系更改。

网站医疗信息仅供参考,不能作为诊断及医疗依据 本网站内容部分来源转载于网络,不能作为任何法律依据!

请注意时效性,望知悉。如有违反或者侵权,请及时联系更正。