郑州美容冠费用多少?美容冠修复牙齿的缺损,畸形,变色等情况,不仅保障了我们口腔的健康,而且还能够无形中让我们的牙齿变得更加的美观,为我们的微笑增添了不少分数。那么郑州美容冠费用是多少呢?下面跟随郑州知名口腔科专家来了解一下!
影响美容冠费用的因素
一、口腔医院会影响美容冠修复价格。一个专业的牙齿整形美容机构,在硬件投入和软件建设上是非常重视的,一套综合的牙齿美容设备就是几百万,医院的技术、质量、信誉、服务也不尽相同,顾客的承诺也是不一样的。
二、美容冠制作设备影响美容冠牙齿美容的价格。从设备上看,制作美容冠的设备普通的几万元,而进口的要上百万。美容冠的材质也因其成分的比例不一样,其价格也不一样。美容冠的颜色上看,美容冠的颜色并非越白越好,而是要自然和谐。
三、牙齿基础条件影响美容冠牙齿美容的价格。美容冠牙齿美容价格与牙齿基础条件有关,不同患者由于牙齿病变的情况不同,美容冠所用的材料和矫正牙齿的数量都不同,自然美容冠价格也不同。你的牙齿情况是怎样的呢?点击在线咨询,直接与专家对话了解详情!
四、品质材料影响美容冠牙齿美容的价格。美容冠品质不同价格不同,也可以说材料不同价格不同。先从美容冠的材料看,有进口和国产之分,在性能和效果上有较大区别,美容冠价格自然就不同。美容冠不同材质其机械性能、物理性能、化学性能、生物相容性、美观性等都有很大区别。
五、医生技术影响美容冠牙齿美容的价格。医生不仅要精通口腔的治疗,也要有较强的审美理念、还有赖于临床医师专业的修复理论支撑,规范的操作,正确的设计,和技师的密切配合等。所以非一般的治疗型的口腔所能把握的,牙齿整形一定要到正规的牙齿整形美容机构。推荐阅读:3D美容冠
中韩·唯美口腔的3D美容冠利用三维数码立体成像技术,将美学和口腔医学完全融合,根据个人肤色、脸型、牙列特点,利用更新激光雕刻技术,制定出与本人更为匹配的牙齿形态。并运用先进比色技术,依照真牙颜色,通过29层颜色对比分析,使成形后的牙冠与真牙达到完美的色调统一,自然逼真 。 3D美容冠具有高机械强度、高硬度、高耐磨性、高耐腐蚀性等优点,突破了传统烤瓷牙的限制,并与牙齿边缘紧密贴合,使牙髓、牙神经得到有效保护。避免了冷、热、酸、甜带来的对牙髓过敏性刺激。 而且3D美容冠制作精良,采用先进品质烤瓷材料,经更高标准严格测试、检验、审批,具有超完美的生物兼容性,能与口腔基牙更密贴,完全亲和,其硬度可与金属相媲美,完全不必担心崩裂,耐用超过20年,甚至终身。点击在线咨询,了解美容冠的优惠信息!在线预约可享更多优惠!
中韩·唯美口腔牙齿美容专家推荐

艾西川,副主任医师,精湛技术:颌面外科、牙齿美容、1小时德国西诺德CAD/CAM3D齿雕全瓷修复。毕业于中国口腔著名学府——西安第四军医大学,原南京军区口外知名专家,郑州市口腔医院院长。从事口腔全科临床工作三十余年,对口腔内外科有丰富的临床经验,拥有万例成功案例。曾获市级科研成果奖两项,省级三项,多部专著被列为医大教材,在国内外知名刊物上发表专业论文20余篇,多次应邀参加国内外口腔大型研讨会,于口腔治疗方面有独到的治疗方法,深受客人好评。
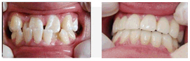
中韩·唯美口腔牙齿美容前后对比图

温馨提示:如果你在阅读文章时碰到不清楚的地方,可以通过在线咨询中韩·唯美口腔的专家;如果你需要看病又不想排队挂号,也可以通过这里提前预约,我们将免费为你安排。
相关感兴趣文章
豫公网安备 41010502002633号
免责声明:本网站近期将进行改版,网站所有内容及图片不做为任何法律依据。如有违反或者侵权,请及时联系更改。
网站医疗信息仅供参考,不能作为诊断及医疗依据 本网站内容部分来源转载于网络,不能作为任何法律依据!
请注意时效性,望知悉。如有违反或者侵权,请及时联系更正。