美容冠美牙方式不用拔牙便可以实现,并且不会给患者带来痛苦。但要想美牙伴随终生,并不是件容易的事。甚至,有些患者美容冠并没有达到预期的修复目的。那么,是哪些因素导致了美容冠修复失败呢?
美容冠修复失败因素:
1、牙齿打磨不精确导致美容冠修复不合格,医生牙体磨的过多,或者没有严格消毒,可能造成牙髓的感染;医生牙体磨的过少、比色不准、技工做牙的水平有限,做出来的美容冠可能出现形态、颜色不美观的问题。
2、材料质量不合格导致美容冠修复失败,当今任何行业都有以次充好的不法分子,医生在对患者进行安装,修复时会造成修复体材料出现掉块,粘接不良等症状。
3、印模不准确导致美容冠修复失败,医生取模不准或者技工加工精度欠佳,做出来的美容冠边缘不密合,刺激牙龈红肿、牙龈出血,日后也容易出现龋坏。
4、医师治疗步骤不完整导致美容冠修复失败,医生未对咬合关系进行精细的调整,造成局部咬合力过大,容易造成美容冠损坏或者牙齿创伤。推荐阅读:3D仿生美容冠
中韩·唯美口腔3D仿生美容冠技术推荐
唯美“美容冠”技术具有美牙不拔牙,不伤牙齿、牙龈,无不良反应,多年后牙龈不易出现黑线等优点,全程无痛,高效快捷,采用德国3D齿雕系统,美容冠从取模--设计--制作-安装 到试戴整个安装过程,一气呵成,用时只需1小时。治疗后牙色真实自然,持久不变色,坚固耐磨,如按医嘱进行保养,可相伴终生。中韩·唯美口腔拥有精湛的技术团队,完备的就医环境,高度负责的工作态度,为每一位患者者量身打造康复方案,更多内容请点击在线咨询。
中韩·唯美口腔牙齿美容专家推荐

徐雅轩,国内著名CAM/CAD修复专家,精湛技术:牙齿矫正、牙齿美容修复、1小时德国西诺德CAD/CAM3D齿雕全瓷修复。毕业于南京医科大学口腔专业,长期从事口腔种植临床工作,在部队三甲医院工作多年,拥有多年深厚的口腔种植与研究经验。曾应邀参加瑞士ITI种植培训、德国西诺德3D齿雕培训,并出任多国种植集团特邀医师。其娴熟的种植技术和丰富的临床经验有机结合,注重从顾客的角度为出发点制定治疗方案,行医严谨,待人真诚,让广大缺牙顾客重新拥有完美的牙齿,深得顾客好评。
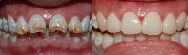
中韩·唯美口腔牙齿美容前后对比图

以上就是中韩·唯美口腔专家对的介绍,中韩·唯美口腔是一家正规、高档的口腔医院具有先进一流的诊疗设备,专业知名的知名医生,实施无痛治疗,满足患者要求,以服务顾客为。唯美口腔真诚欢迎您的咨询和就诊。
相关感兴趣文章
豫公网安备 41010502002633号
免责声明:本网站近期将进行改版,网站所有内容及图片不做为任何法律依据。如有违反或者侵权,请及时联系更改。
网站医疗信息仅供参考,不能作为诊断及医疗依据 本网站内容部分来源转载于网络,不能作为任何法律依据!
请注意时效性,望知悉。如有违反或者侵权,请及时联系更正。