烤瓷牙失败的原因是什么?烤瓷牙修复牙齿问题也是经过了多年的运用,而另一方面烤瓷牙所出现的更严重的问题就是烤瓷牙的失败,让有些朋友望而却步。总结其原因主要还是由于做烤瓷牙是在不正规的地方扫造成的,下面跟随郑州知名口腔科专家来了解一下烤瓷牙失败具体的原因。
烤瓷牙失败的原因
中韩·唯美口腔专家指出:一些朋友在安装烤瓷牙后出现牙龈红肿、淤血、发黑,给我们的生活带来了不必要的麻烦,主要是以下几个原因造成的。
一、修复体边缘与基牙颈部存在悬突,形成菌斑,结石堆积。
二、牙体轴面备牙不足,修复体形态过突,无自洁作用及食物对牙周生理按摩作用。
三、修复体形态恢复不良,外展隙恢复欠佳造成牙周损害。
四、设计不合理马鞍式设计或分配不均,造成牙周创伤或不利于清洁。
五、修复表面粗糙,易附结石。
六、修复材料质量低劣,造成牙龈不良刺激、过敏、发黑、发炎等。
七、备牙过程中牙龈较重损伤。
八、患者在美齿或修复后未能有效地保持口腔清洁卫生,未定期复诊,对牙周病的危害未引起足够重视,有些直到更后基牙松脱才来就诊。推荐阅读:3D全瓷牙
牙齿美容技术推荐——3D全瓷牙
中韩·唯美口腔拥有的3D全瓷牙采用更高端的氧化锆材料,运用先进的CT三维数字扫描技术、电脑智能CAD/CAM系统设计,在短时间内根据患者的口腔条件、脸型、肤色,量身定做个性化全瓷牙修复美容方案。3D全瓷牙拥有完美的精密度;具有真牙相匹配的透光性,色泽逼真,可媲美自然牙;良好的生物相容性,对牙龈无刺激;强度绝佳,强度超出真牙,拥有卓越的咬合力量,无不良金属离子渗出,磨牙较少,更大程度地保留原有的牙齿组织,所以能达到更佳的美齿效果及与软组织的更舒适接触。点击在线咨询,了解牙齿美容的优惠信息!在线预约可享更多优惠!
中韩·唯美口腔牙齿美容专家推荐

莫三心教授,主任医师,硕士研究生导师。唯美口腔特邀专家,河南省口腔医学领域知名专家、郑州大学知名教授。精湛技术:牙齿种植、口腔修复、牙齿美容修复曾多次获得卫生部及省市各级表彰。主编多部并且参与编写多部国家医学教材,发表学术论文20余篇。擅于口腔修复,并涵盖口腔专业各个领域,可谓是大师级的口腔专家,在国内口腔界享有很高的声望。
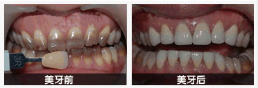
中韩·唯美口腔牙齿美容前后对比图

通过以上的介绍,相信您对这一问题已经有了更深的了解,中韩·唯美口腔专家指出,牙齿修复一定要到正规医院进行,以免由于手术不当而给自身造成终身遗憾。如果您还有其他问题,可以在线咨询专家,专家会为您做出耐心的解答。
豫公网安备 41010502002633号
免责声明:本网站近期将进行改版,网站所有内容及图片不做为任何法律依据。如有违反或者侵权,请及时联系更改。
网站医疗信息仅供参考,不能作为诊断及医疗依据 本网站内容部分来源转载于网络,不能作为任何法律依据!
请注意时效性,望知悉。如有违反或者侵权,请及时联系更正。