郑州全瓷牙价格是多少?各种条件的制约形成了万物之间难以分离的联系,全瓷牙的价格也是与许多因素有关的,自身的牙齿状况,医院的设备,专家的技术,当地的消费水平等等,下面我们跟随郑州知名口腔科专家来了解一下全瓷牙的价格。
全瓷牙价格由全瓷牙材料、工艺等的影响
全瓷牙从材料的不同可以分为氧化铝全瓷烤瓷牙和氧化锆全瓷烤瓷牙等,且有国产和进口之分,选择不同的种类,全瓷牙价格有所不同。再加上地域差异和加工工艺的不同,全瓷牙价格也有所不同。哪种全瓷牙的材料适合你呢?点击在线咨询,直接与专家对话了解详情!
全瓷牙价格由全瓷牙制作的影响
全瓷牙就是全瓷制作,完全不用金属基底,其层次、色泽更接近于真牙。全瓷牙对牙龈无刺激性,对光线的反射更接近天生牙,拥有绝佳的光学性质,极好的生物相容性。全瓷修复体形式多样,有全瓷、有贴面、还有桩核;而且全瓷的加工工艺差别也很大,有铸压法,有CAD/CAM(计算机辅助设计/计算机辅助加工法)。不同的制作方法导致全瓷牙价格也不一样。
全瓷牙价格由全瓷牙医院和专家的影响
全瓷牙价格更后是由所选择的医院和专家决定的,一个具有多年经验的全瓷牙医师和一个刚进入医院的医师,全瓷牙价格是不一样的。推荐阅读:3D全瓷牙
中韩·唯美口腔拥有的3D全瓷牙采用更高端的氧化锆材料,运用先进的CT三维数字扫描技术、电脑智能CAD/CAM系统设计,在短时间内根据患者的口腔条件、脸型、肤色,量身定做个性化全瓷牙修复美容方案。3D全瓷牙拥有完美的精密度;具有真牙相匹配的透光性,色泽逼真,可媲美自然牙;良好的生物相容性,对牙龈无刺激;强度绝佳,强度超出真牙,拥有卓越的咬合力量,无不良金属离子渗出,磨牙较少,更大程度地保留原有的牙齿组织,所以能达到更佳的美齿效果及与软组织的更舒适接触。点击在线咨询,了解全瓷牙的优惠活动!在线预约可享更多优惠!
中韩·唯美口腔牙齿美容专家推荐

艾西川,副主任医师,精湛技术:颌面外科、牙齿美容、1小时德国西诺德CAD/CAM3D齿雕全瓷修复。毕业于中国口腔著名学府——西安第四军医大学,原南京军区口外知名专家,郑州市口腔医院院长。从事口腔全科临床工作三十余年,对口腔内外科有丰富的临床经验,拥有万例成功案例。曾获市级科研成果奖两项,省级三项,多部专著被列为医大教材,在国内外知名刊物上发表专业论文20余篇,多次应邀参加国内外口腔大型研讨会,于口腔治疗方面有独到的治疗方法,深受客人好评。
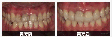
中韩·唯美口腔牙齿美容前后对比图

如果您觉得我们的文章没有解释的很清楚,或者还有其他疑问,您可以直接点击我们的在线咨询医生,中韩·唯美口腔专业咨询医生会给您耐心的,详细的解答,并给您一个满意的答复!
豫公网安备 41010502002633号
免责声明:本网站近期将进行改版,网站所有内容及图片不做为任何法律依据。如有违反或者侵权,请及时联系更改。
网站医疗信息仅供参考,不能作为诊断及医疗依据 本网站内容部分来源转载于网络,不能作为任何法律依据!
请注意时效性,望知悉。如有违反或者侵权,请及时联系更正。