全瓷牙价格多少钱?从美观上和口腔健康方面对牙齿的需求来讲,一口健康的好牙能让我们更好的融进幸福快乐的生活之后。全瓷牙是一种常用的牙齿美容方法,在解决我们牙齿问题的同时也对我们的牙齿进行了自然的美容。那么全瓷牙价格多少钱呢?
中韩·唯美口腔专家介绍:全瓷牙的种类不同价格也会有区别,下面,来看看全瓷牙的种类:
1、氧化锆全瓷牙:氧化锆是自然界中以斜锆石存在的一种矿物,全瓷牙的强度得到了很大的提高,并很快应用于临床,全瓷牙逼真的美学效果令牙医们震惊,连牙医也很难分辨哪一颗是假牙。氧化锆全瓷牙是使用粉浆涂塑的方法制作的全瓷牙齿,就是在耐火牙模型上涂塑氧化锆粉浆在高温下使之成型。
2、氧化铝全瓷牙:使用粉浆涂塑的方法制作的全瓷牙齿,就是在耐火牙模型上涂塑氧化铝粉浆在高温下使之成型。高强度和韧性氧化锆全瓷牙已被证实成功用于航天飞机的热屏蔽、保时捷汽车的制动盘和人造传输带,它的强韧远大于其他所知的非金属烤瓷牙。
3、铸造全瓷牙:铸造全瓷牙,这种就是用蜡做出相应的牙模型,然后进行高温去蜡的步骤,更后将制作好的瓷块熔化后,通过压力铸入圈内,全瓷牙的成品就完成了。简单的说铸造全瓷牙的制作工艺是取好牙模以后,整体铸造出来。铸造全瓷牙具有美观、良好的半透明性、与牙釉质近似的折光性,因此牙齿美容效果更接近天然牙。推荐阅读:3D全瓷牙
其实,全瓷牙的价格是不能一概而论的。随着医疗技术的发展,全瓷牙的材料也越来越多。目前临床上常采用的氧化铝全瓷烤瓷牙、氧化锆全瓷烤瓷牙、铸造全瓷烤瓷牙等,爱美者在做全瓷牙前可与医生充分沟通,选择更适合自己的材料。爱美者所选的材料不同,全瓷牙的效果也就不同,全瓷牙价格肯定也是不一样的;另外,患者选择的医院及个人的口腔状况不一样,全瓷牙的价格也是有一定差距的。点击在线咨询,根据自己的实际情况咨询在线专家,得到自己想要的答案!
中韩·唯美口腔拥有的3D全瓷牙采用更高端的氧化锆材料,运用先进的CT三维数字扫描技术、电脑智能CAD/CAM系统设计,在短时间内根据患者的口腔条件、脸型、肤色,量身定做个性化全瓷牙修复美容方案。3D全瓷牙拥有完美的精密度;具有真牙相匹配的透光性,色泽逼真,可媲美自然牙;良好的生物相容性,对牙龈无刺激;强度绝佳,强度超出真牙,拥有卓越的咬合力量,无不良金属离子渗出,磨牙较少,更大程度地保留原有的牙齿组织,所以能达到更佳的美齿效果及与软组织的更舒适接触。点击在线咨询,了解全瓷牙的优惠活动!在线预约可享更多优惠!
中韩·唯美口腔牙齿美容专家推荐

莫三心教授,主任医师,硕士研究生导师。唯美口腔特邀专家,河南省口腔医学领域知名专家、郑州大学知名教授。精湛技术:牙齿种植、口腔修复、牙齿美容修复曾多次获得卫生部及省市各级表彰。主编多部并且参与编写多部国家医学教材,发表学术论文20余篇。擅于口腔修复,并涵盖口腔专业各个领域,可谓是大师级的口腔专家,在国内口腔界享有很高的声望。
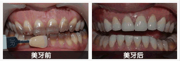
中韩·唯美口腔牙齿美容前后对比图

温馨提示:如果你在阅读文章时碰到不清楚的地方,可以通过在线咨询中韩·唯美口腔的专家;如果你需要看病又不想排队挂号,也可以通过这里提前预约,我们将免费为你安排。
豫公网安备 41010502002633号
免责声明:本网站近期将进行改版,网站所有内容及图片不做为任何法律依据。如有违反或者侵权,请及时联系更改。
网站医疗信息仅供参考,不能作为诊断及医疗依据 本网站内容部分来源转载于网络,不能作为任何法律依据!
请注意时效性,望知悉。如有违反或者侵权,请及时联系更正。