四环素牙美白一般需要多少钱?牙齿四环素牙严重影响了我们的面容美观,及正常的生活。如何解决这一难题就需要我们对四环素牙进行美白。那么四环素牙美白一般多少钱呢?下面跟随郑州知名口腔科专家来了解一下。
四环素牙美白一般需要多少钱?中韩·唯美口腔专家介绍:四环素牙是指四环素族药物引起的着色牙,属于口腔科疾病。病因是在牙的发育矿化期服用四环素族药物,可被结合到牙组织内,使牙着色。四环素还可在母体通过胎盘引起乳牙着色。初呈黄色,在阳光照射下则呈现明亮的黄色荧光,以后逐渐由黄色变成检字法褐色或深灰色。
四环素牙美白价格多少并非一概而论的,因为它的决定因素很多。比如说与牙齿染色的程度,选择的医院和医生,还有就是选用的方法等等。每个因素的不同都能导致价格相差的幅度,特别是爱美者选择的医院水平,更能体现在价格方面。但是专家提醒的是,你千万不能被小诊所打出的价格战而迷惑住,为了自身安全请选择正规的医院。推荐阅读:3D全瓷牙
重度四环素牙美白方法推荐——3D全瓷牙
中韩·唯美口腔拥有的3D全瓷牙采用更高端的氧化锆材料,运用先进的CT三维数字扫描技术、电脑智能CAD/CAM系统设计,在短时间内根据患者的口腔条件、脸型、肤色,量身定做个性化全瓷牙修复美容方案。3D全瓷牙拥有完美的精密度;具有真牙相匹配的透光性,色泽逼真,可媲美自然牙;良好的生物相容性,对牙龈无刺激;强度绝佳,强度超出真牙,拥有卓越的咬合力量,无不良金属离子渗出,磨牙较少,更大程度地保留原有的牙齿组织,所以能达到更佳的美齿效果及与软组织的更舒适接触。点击在线咨询,了解全瓷牙的优惠信息!在线预约可享更多优惠!
中韩·唯美口腔牙齿美容专家推荐

艾西川,副主任医师,精湛技术:颌面外科、牙齿美容、1小时德国西诺德CAD/CAM3D齿雕全瓷修复。毕业于中国口腔著名学府——西安第四军医大学,原南京军区口外知名专家,郑州市口腔医院院长。从事口腔全科临床工作三十余年,对口腔内外科有丰富的临床经验,拥有万例成功案例。曾获市级科研成果奖两项,省级三项,多部专著被列为医大教材,在国内外知名刊物上发表专业论文20余篇,多次应邀参加国内外口腔大型研讨会,于口腔治疗方面有独到的治疗方法,深受客人好评。
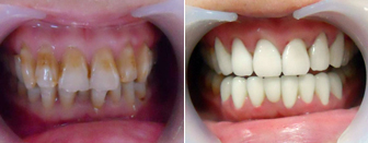
中韩·唯美口腔牙齿美容前后对比图

如有有任何疑问,你可在线咨询得到想要的蜕变答案,中韩·唯美口腔的专家会根据您的实际情况为您推荐更好的治疗方案并为您申请专项优惠。
豫公网安备 41010502002633号
免责声明:本网站近期将进行改版,网站所有内容及图片不做为任何法律依据。如有违反或者侵权,请及时联系更改。
网站医疗信息仅供参考,不能作为诊断及医疗依据 本网站内容部分来源转载于网络,不能作为任何法律依据!
请注意时效性,望知悉。如有违反或者侵权,请及时联系更正。