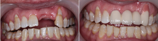
郑州镶一颗牙齿需要多少钱,牙齿缺失是我们日常常见的口腔问题,但是有的人并没有引起重视。而事实上,牙齿长时间缺失,其危害是很大的,对自身的形象和口腔的健康都会造成很多不利的影响。因此,需要大家重视起来,及早选择专业的口腔医院,进行镶牙,从而有效的避免严重的后果发生。那么,郑州镶一颗牙齿需要多少钱?为此,通过以下我们来进行详细的了解。

郑州唯美口腔的专家介绍,镶牙”在医学上称口腔修复。它包括牙体缺损及牙列缺失的修复等。近年来制作假牙的材料主要是:烤瓷、塑料、金属。由于假牙在口腔的固位方式不同,将牙齿缺失的修复分为两种: 即活动义齿与固定义齿。郑州镶牙多少钱根据假牙材料的选择不同也有着极大的区别,不能一概而论。
影响郑州镶牙价格的因素除了,假牙材料以外,还和以下因素有关:
1、与假牙材料的选用不同有关。不同的假牙材料,其性能、美观度、使用寿命等方面有着较大的差异,因此选用不同的材料进行假牙修复,假牙价格各不相同。
2、与患者口腔的健康状况在假牙修复前,如果口腔内有炎症或者龋病,则应进行全面规范的治疗,而由于每颗人口腔状况的不同,因此镶假牙前的治疗费用不同。
3、与镶牙方式的选用有关。镶牙方式根据假牙在口腔中固位情况的不同,分活动假牙和固定假牙两种,不同的假牙修复方式对牙科医院的设备、医师技术水平的要求不一,因此选择不同的镶牙方式,镶假牙价格各不相同。
4、与牙科医生的选择有关,不同牙科医生治疗的方式、水平、治疗仪器不同,收费标准就也不一,因此不同的牙科医生治疗,其收费标准不一,镶牙多少钱也不相同。
温馨提示:镶牙后假牙在口腔中的适应需要一定的时间,因此镶牙后初期会有一定的不适,患者应反复练习,逐步适应,切不可过于急躁,同时专家指出:镶牙后假牙的外形虽然得以修复,但其整体咀嚼性能较自然牙偏差,因此镶牙后应注意牙体的保护,不宜咀嚼过硬的食物。推荐阅读:郑州哪个医院镶牙好
郑州镶一颗牙齿需要多少钱?通过以上的介绍,想必大家也有了一定的了解。郑州口腔医院郑州唯美口腔专家提醒:要想确保镶牙的效果,一定要选择正规的口腔医院,而且在正规的口腔医院,收费合理,让大家放心。如果还有不明白的地方,可在线咨询我们的口腔专家。
豫公网安备 41010502002633号
免责声明:本网站近期将进行改版,网站所有内容及图片不做为任何法律依据。如有违反或者侵权,请及时联系更改。
网站医疗信息仅供参考,不能作为诊断及医疗依据 本网站内容部分来源转载于网络,不能作为任何法律依据!
请注意时效性,望知悉。如有违反或者侵权,请及时联系更正。