欢迎进入郑州市金水区唯美口腔

郑州唯美口腔医院周年庆预约专家

郑州唯美口腔医院周年庆在线咨询

郑州唯美口腔医院周年庆免费咨询热线 0371-55019113

首页 > 郑州牙齿种植 > 郑州单颗种植 >
郑州唯美口腔医院

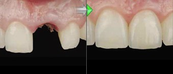
种植牙失败了该怎么办呢

来源 :郑州唯美口腔医院        时间:2015-05-23 10:23 进入专家答疑区 在线咨询 | 预约专家
  种植牙失败了该怎么办呢,种植牙不论是在外观上还是咀嚼效率上都几乎与真牙无异,种植牙有着假牙无法比拟的功能。 种植牙是目前修复牙齿缺失更有效、更安全、更持久的方法,技术相当成熟。种植牙的是很高的,填充情况下都能有满意的效果。但也有一些种植失败的案例,那么种植牙失败了该怎么办呢?为此,通过以下我们来进行详细的了解。
 
种植牙失败了该怎么办呢
 
  郑州唯美口腔专家介绍,造成种植牙失败主要有以下三点原因:
 
  1、种植体基桩松动:种植义齿修复体未与种植体分离(种植牙寿命),修复体出现旋转松动;X线光片观察,基桩与种植体连接处可见间隙存在,这是由于口腔种植牙医生操作不当造成种植牙失败。
 
  2、种植体的基桩折断:此时,种植基桩连同修复体与种植体分离,可以见到基桩折断端口;X光片观察,基桩一部分断于种植体内,这主要是因为种植体质量不过关造成种植牙失败。
 
  3、种植体周围炎:种植义齿未发生松动,种植体周围牙龈水肿,充血,有分泌物。X光片观察,种植体周围骨质吸收大于2mm。
 
  做种植牙失败了怎么办?
 
  1、种植牙失败可以根据植骨区的具体情况决定是否做骨引导再生技术,这是一种微创的、先进的、成熟的,也是目前种植牙技术中常采用的技术。
 
  2.多次手术造成局部软组织量不足,建议暂时不要再做植骨,但要根据具体情况决定是否转移邻牙牙龈修复软组织的不足,以关闭伤口。推荐阅读:郑州种植牙齿的价格
 
  3.尽早取出移植骨块,彻底清创。因为多种原因导致的植骨区感染、伤口裂开,所致骨块可能已经坏死,成为二次感染源,容易造成伤口久治不愈,所以应尽早取出,彻底清创。
 
  种植牙失败了该怎么办呢?做种植牙切勿贪小便宜吃大亏,那么多的实例告诉我们,做牙齿种植一定要到正规的口腔医院。郑州牙科医院郑州唯美口腔专家提醒说,种植牙要求医师技术精湛,医院设备先进齐全,应当选择正规的医疗机构,专业的口腔医生进行治疗,以避免手术失败。如您想了解更多关于种植牙的问题,可以咨询在线专家。

浏览本篇文章的网友

27%
选择了:郑州唯美口腔医院
在线医师坐诊,快速悉知病情!
39%
选择了:郑州唯美口腔医院
在线医师坐诊,快速悉知病情!
分享到:郑州唯美口腔医院
郑州唯美口腔医院

扫一扫
把郑州唯美
加为好友

郑州唯美口腔医院

相关感兴趣文章

缺了一颗牙齿怎么办

缺了一颗牙齿怎么办

牙缺失久了不处理就会出现好多问题,还会出现痛得吃不下饭,睡不着觉...[详情]

单颗种植牙哪家医院好

单颗种植牙哪家医院好

随着医学的发展,为越来越多的牙齿缺失患者带来了福音。以前牙齿缺失后...[详情]

做种植牙需要拔掉牙根吗

做种植牙需要拔掉牙根吗

做种植牙需要拔掉牙根吗,对于牙齿缺失的患者而言,种植牙是最好的牙齿修复方法。种植...[详情]

郑州市哪家医院种植牙好

郑州市哪家医院种植牙好

郑州市哪家医院种植牙好,现如今,很多人面临这牙齿缺失的问题,让自身的口腔健康以及...[详情]

唯美品牌
郑州唯美口腔医院
  • 时间:10月20日
  • 摘要:唯美口腔加入郑州人民医院医疗集团
  • 地点:郑州唯美口腔
  • 详情 → 咨询 →
郑州唯美口腔医院
  • 时间:每周一、周五亲诊
  • 摘要:矫正专家亲诊
  • 地点:郑州唯美口腔
  • 详情 → 咨询 →
特邀专家

有牙齿困扰 在线找专家

专家热线:0371-55019113

专家团队
精彩专题
> 微创即刻种植牙
> 隐适美隐形矫正
> 360°彩光美白
> 超薄牙贴面
> 3D全瓷牙

豫公网安备 41010502002633号

免责声明:本网站近期将进行改版,网站所有内容及图片不做为任何法律依据。如有违反或者侵权,请及时联系更改。

网站医疗信息仅供参考,不能作为诊断及医疗依据 本网站内容部分来源转载于网络,不能作为任何法律依据!

请注意时效性,望知悉。如有违反或者侵权,请及时联系更正。