种植牙和镶牙哪个好?牙齿缺失之后,我们可以通过镶牙和种植牙来修复牙齿缺失,减少牙齿缺失所给我们带来的危害,那么镶牙和种植牙的方法,哪种好呢?我们该如何选择呢?下面跟随郑州知名口腔科专家来了解一下。
种植牙修复牙齿缺失优于镶牙
种植牙优势一、传统镶牙需要将缺牙位置的两边牙齿磨小以作为固定牙套的支撑,牙套在口腔内人们会感觉不舒服,而种牙时则不会影响缺牙位置旁的其它牙齿,更不会有异物感、不舒服感。
种植牙优势二、在牙齿缺失比较厉害的情况下,传统镶牙会以依靠牙床粘膜软组织为支撑,因此容易活动,如果长期使用,会造成牙槽骨将逐渐萎缩现象。而种牙相对比较适应牙齿缺失较少的情况,对于牙齿缺失较多情况,如果种牙在牙骨内打入较多的金属牙根,也容易造成牙龈的损坏。但是种牙不会出现牙齿移动现象。
种植牙优势三、在使用传统镶牙后,人们牙齿的咀嚼能力会变差,而且损坏其它牙齿,导致整体的咀嚼能力变弱。而且镶牙之后,毕竟是异物,很容易会积淀脏物,不易清理,影响牙齿美观,而种牙的密合性非常好,不会出现传统镶牙的这些弊端。推荐阅读:亲骨超导种植技术
牙齿缺失更好的治疗方法——亲骨超导种植技术
中韩·唯美口腔独家引进的亲骨超导即刻种植是采用普兰梅卡口腔全景机进行3D口腔CT成像,根据自身牙体骨骼或以自身骨组织系数来定制骨粉,比起传统的人造骨粉,更加精确无误,而且生物相容性更好、更稳定牢固、愈合更迅速。由于3D口腔CT成像的直接应用,使亲骨种植技术大大的提高了,并象征着口腔种植领域的发展,迈出了革命性的一步。点击在线咨询,了解种植牙的优惠信息!在线预约可享更多优惠!
中韩·唯美口腔牙齿种植专家推荐

郑淳奎,口腔颌面外科硕士、口腔修复医学博士。精堪技术:种植牙修复。毕业于韩国首尔大学牙医学院,1995年赴瑞典皇家学院口腔医学院、美国华盛顿大学口腔医学院求学,先后获得了口腔颌面外科硕士、牙周病学硕士、口腔修复医学博士等学位。回国后将韩国整形医学与德国CEREC 3D数字齿雕系统结合,革新了口腔美容设计的传统治疗方法,获韩国齿周科学会新人学术奖及保健福利部长官奖。2000年又赴德国深造普士即刻种植牙技术,并成为位为德国人实施种植手术的亚洲专家。对各种种植修复技术有很深的造诣,先后在日本齿周科学会、日本齿科学会发表论文,获大韩齿周科学会新人学术奖,获韩国保健福利部长官奖,在韩国牙科界享有很高的美誉。
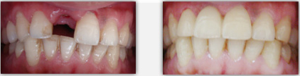
中韩·唯美口腔牙齿种植前后对比图

如果您觉得我们的文章没有解释的很清楚,或者还有其他疑问,您可以直接点击我们的在线咨询医生,中韩·唯美口腔的专业咨询医生会给您耐心的,详细的解答,并给您一个满意的答复!
豫公网安备 41010502002633号
免责声明:本网站近期将进行改版,网站所有内容及图片不做为任何法律依据。如有违反或者侵权,请及时联系更改。
网站医疗信息仅供参考,不能作为诊断及医疗依据 本网站内容部分来源转载于网络,不能作为任何法律依据!
请注意时效性,望知悉。如有违反或者侵权,请及时联系更正。