欢迎进入郑州市金水区唯美口腔

预约专家

在线咨询

免费咨询热线 0371-55019113

网站首页 > 郑州牙齿矫正 > 郑州错颌正畸 >

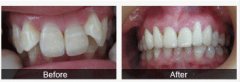
正雅和隐适美区别

来源 :郑州唯美口腔医院        时间:2022-03-18 14:30:13 进入专家答疑区 在线咨询 | 预约专家


  正雅和隐适美区别*宝宝的牙齿发育,不仅关系咀嚼消化功能,还会对其面容产生影响。地包天不仅影响孩子牙齿发育,还影响整个口腔,甚至会导致面容发生变化,所以妈妈对此应该多加重视。兜齿的危害都有哪些呢?

  1、影响咀嚼功能及口腔健康  多数牙地包天患者的上下前牙不能对咬,不能行使切咬功能。主要表现为进食时间较正常人长。个别牙地包天时,前牙咬合交叉错乱,也会妨碍正常功能活动,久之可造成牙齿的不正常磨耗。地包天患者也易患颞颌关节疾病。

  正雅和隐适美区别*2、妨碍颌骨的发育,影响美观  表现为面中部发育不足,从侧面看,面形呈月牙状脸,好似全口牙齿都已脱落后的老太太的面形,严重影响患者的容貌美观,有些人还因此造成心理障碍。

 

  正雅和隐适美区别→→专业治口腔,唯美铸健康←←

  隐形牙套是根据3d影像科技来设计矫正牙齿的整个过程。隐形矫治技术继承了传统的牙颌畸形矫治理念,是集现代口腔医学、口腔三维CT诊断、个性化设计及数字化成型技术的完美结合。患者在不同时期可以佩戴不同的透明矫正器,然后让牙齿按照预定的方向来移动,最终使牙齿变得整齐。戴隐形牙套的作用:

  一、利用隐形牙套的厚度,可以垫高后牙,打开咬合间隙,使前牙逐渐伸长,改变开颌的外观。

  正雅和隐适美区别*二、隐形牙套可以推动磨牙整体后移,获得矫治空间,避免了拔牙矫治带来的痛苦。

  三、隐形牙套的形变作用可以促使牙齿排齐,刺激上下前牙唇侧的牙槽骨发生生长改建,内收前牙,改善前突。

  隐形牙套虽然没有传统钢套的钢丝和托槽,但是一样能达到正畸的效果。牙齿矫正技术能够飞速发展,离不开背后研究者们秉承工匠精神,不断追求创新的精神,希望大家都能选择到合适的牙齿矫正方案,不花冤枉钱,就能拥有一口整齐美观的牙齿,展露自信笑容。

 

  正雅和隐适美区别★唯美,是朋友,是亲人★

  Tips:患者提问:牙齿美白后还会有蛀牙吗,拔牙缝针能吃西瓜吗?

  医生简答:牙齿美白有助于防止蛀牙。平时要注意口腔卫生,饭前饭后要刷牙漱口。平时要忌食过甜,过凉过硬过甜的食物。适当的到户外运动呼吸新鲜空气,放松心情。

  正雅和隐适美区别*拔牙齿后可以吃西瓜的。不影响的等麻药退掉,大概两到4小时之后,就可以去的这样不容易咬到黏膜,特别是吃一些冰西瓜有助于止血和止痛。不要吃过烫的食物。

浏览本篇文章的网友

27%
选择了:
在线医师坐诊,快速悉知病情!
39%
选择了:
在线医师坐诊,快速悉知病情!
分享到:

扫一扫
把郑州唯美
加为好友

相关感兴趣文章

郑州隐适美四个月效果

郑州隐适美四个月效果,爱美之心人皆有知,对于爱美的人来说不仅需要美丽的外表和苗条身材......[详情]

郑州做隐适美矫正需要多少...

郑州做隐适美矫正需要多少钱,随着大家对口腔健康意识的增强,很多爱美人士想通过牙齿矫正......[详情]

彩光美白和冷光美白有什么...

彩光美白和冷光美白有什么区别,如今,洁白亮丽的牙齿已经不仅仅是形象的问题,更是一个人......[详情]

郑州种植牙和烤瓷牙的区别

 郑州种植牙和烤瓷牙的区别?修复牙齿的办法多种多样,使人选择的眼花缭乱,缺失牙齿的修......[详情]

唯美品牌
  • 时间:10月20日
  • 摘要:唯美口腔加入郑州人民医院医疗集团
  • 地点:郑州唯美口腔
  • 详情 → 咨询 →
  • 时间:每周一、周五亲诊
  • 摘要:矫正专家亲诊
  • 地点:郑州唯美口腔
  • 详情 → 咨询 →
特邀专家

有牙齿困扰 在线找专家

专家热线:0371-55019113

专家团队
精彩专题
> 微创即刻种植牙
> 隐适美隐形矫正
> 360°彩光美白
> 超薄牙贴面
> 3D全瓷牙

豫公网安备 41010502002633号

免责声明:本网站近期将进行改版,网站所有内容及图片不做为任何法律依据。如有违反或者侵权,请及时联系更改。

网站医疗信息仅供参考,不能作为诊断及医疗依据 本网站内容部分来源转载于网络,不能作为任何法律依据!

请注意时效性,望知悉。如有违反或者侵权,请及时联系更正。