欢迎进入郑州市金水区唯美口腔

预约专家

在线咨询

免费咨询热线 0371-55019113

网站首页 > 郑州牙齿美容 > 郑州美容冠 >

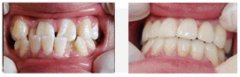
拥有美容冠,美齿不再难

来源 :郑州唯美口腔医院        时间:2014-09-20 16:33:00 进入专家答疑区 在线咨询 | 预约专家
  拥有美容冠,美齿不再难。许多人都羡慕电视电影明星有一口洁白又整齐的牙齿,都疑惑为什么他们的牙齿可以生的那么好,而自己的牙齿却是问题百出,要么不够洁白,要么就不够整齐。于是开始懊恼:有没有一种办法能够让自己的牙齿也像明星那样光彩夺目呢?
 
  郑州唯美口腔医院专家给予回复:当然有。明星们之所以会有那样令人艳羡的美齿,其实是因为他们中很多人的牙齿都是做过美容冠的,这是一种流行于欧美的牙齿美容技术,通过这种技术,可以使牙齿畸形,牙齿变色等等状况得到有效改善。许多对自己的牙齿不自信的朋友都选择通过美容冠修复来改善。真正实现了拥有美容冠,美齿不再难的愿望。
 
  那么,在做了美容冠之后该怎么样保养呢?
 
  郑州唯美口腔医院专家表示,在美牙冠修复之后是需要良好保护的,只有更好的保护才能让美牙冠保持更久的时间.注意在美牙冠佩戴后,更好不要吃特过硬的食物,特别是在刚做完以后,要先吃一些较软的食物,像核桃一类的硬东西更好不要食用,因为这样容易造成牙齿畸形。推荐阅读:哪些因素会导致美容冠修复失败
 
  另外,患者还要特别注意镶牙初期和修复相比,上下牙尖对位不同,所以在吃东西时要注意缓慢进食,以免咬伤颊舌黏膜。在美牙冠修复后还要注意会与基牙的结合处容易聚集菌斑,这样就很容易形成牙石,所以 在每次吃完东西后要注意及时的清除牙齿上的残留物,以防造成对美牙冠的损害,只有这样才能让美容冠保持更久的时间,让你拥有更多的美丽。
 
  推荐技术:仿生美容冠 开创全新美牙新篇章
 
  郑州唯美口腔医院仿生美容冠作为新一代全新升级技术,在注重牙齿美观的前提下,更强调牙齿结构天然、完整,与口腔各部位的高度相容,利用健康环保绝对无毒素残留的材质,塑造与真牙一样具有优良咀嚼机械性能的牙齿。是经欧美数十万例错位牙、畸形牙、色素牙患者检验认同的专业修复手段,与传统方式相比,仿生具有不拔牙、无痛苦、牙齿坚固、多年后不出现黑线、与牙龈高度相容、与真牙无二致等优点。仿生美容冠超越传统美容冠、代替传统的烤瓷牙技术,深得影视明星们的喜爱,开创了全新美牙新篇章!
 
  温馨提醒:如果您还有其他疑问请点击郑州唯美口腔医院在线咨询专家为您做详细的解答,在这里您将得到想要的蜕变答案,而且专家会根据您的实际情况为您推荐更好的治疗方案并为您申请相关的优惠。爱生活·从齿开始,郑州唯美口腔竭诚为您服务。

浏览本篇文章的网友

27%
选择了:
在线医师坐诊,快速悉知病情!
39%
选择了:
在线医师坐诊,快速悉知病情!
分享到:

扫一扫
把郑州唯美
加为好友

相关感兴趣文章

种植牙的危害有哪些?如何...

很多人都想拥有一口健康坚固的牙齿,如果发生牙齿缺失,种植牙是牙齿缺失患者理想的修复方......[详情]

什么是种植牙?唯美齿科专...

随着种牙技术的发展,“种植牙”这个新概念开始走进人们的生活,医学专家也给予极高评价...[详情]

牙齿怎么快速变白

  牙齿怎么快速变白,越来越多的人开始注重牙齿美容,基本每一位明星都要通过牙齿美白来......[详情]

牙齿矫正器要带多久

很多人都是因为小时候没有牙齿保护意识,而导致了长大后牙齿不整齐的问题的出现。...[详情]

唯美品牌
  • 时间:10月20日
  • 摘要:唯美口腔加入郑州人民医院医疗集团
  • 地点:郑州唯美口腔
  • 详情 → 咨询 →
  • 时间:每周一、周五亲诊
  • 摘要:矫正专家亲诊
  • 地点:郑州唯美口腔
  • 详情 → 咨询 →
特邀专家

有牙齿困扰 在线找专家

专家热线:0371-55019113

专家团队
精彩专题
> 微创即刻种植牙
> 隐适美隐形矫正
> 360°彩光美白
> 超薄牙贴面
> 3D全瓷牙

豫公网安备 41010502002633号

免责声明:本网站近期将进行改版,网站所有内容及图片不做为任何法律依据。如有违反或者侵权,请及时联系更改。

网站医疗信息仅供参考,不能作为诊断及医疗依据 本网站内容部分来源转载于网络,不能作为任何法律依据!

请注意时效性,望知悉。如有违反或者侵权,请及时联系更正。