三维齿雕技术优势是什么?对于人才的选择,对于居住地点的选择,都是通过人才与居住地点的优势通过对比之后才确定下来的。当然对于牙齿出现问题修复方法的选择也是不例外的。三维齿雕技术是修复牙齿问题常用的,那么三维齿雕技术优势是什么呢?
三维齿雕技术效果怎样
中韩·唯美口腔专家表示,三维齿雕技术修复的牙齿在外观和性能上更优于金属烤瓷牙,它是一种透明式骨架,层次、色泽如真牙,对牙龈无刺激,在光线的反射下不会反青,其绝佳的光学性质、极好的生物相容性、逼真的色泽比金属烤瓷牙更自然、更美观。
三维齿雕技术优势是什么
1、全电脑即刻扫描、设计、制作,精确度高,无需取模、无误差、无痛苦。
2、时间快、效果好,无需来回复诊一周时间,即刻补牙、镶牙、美牙一步到位。
3、抗压性强、耐磨性高、耐用持久,其材质是通过高温压铸经低温冷却等工艺形成,硬度高于真牙。
4、色泽自然、层次感强、透光性良好。立体透明多层色的吸辐材质,在光照射下不会出现反青现象。
5、安全性高、无金属成分、无毒性、不氧化、不变质、不变黑,不会造成牙周组织过敏、红肿、出血等现象,更不用担心有金属离子渗出影响身体健康。推荐阅读:用心呵护口腔健康
中韩·唯美口腔的三维精密全瓷牙完全采用进口复合陶瓷材料制作,经标准严格测试、审批,生物兼容性好,与口腔基牙更密贴,完全亲和,质变机率极低;全瓷冠全瓷制作,没有金属基底冠,导热性能极低,仅为黄金的1/17,更有利于保护牙髓、牙龈,有效避免过敏、牙龈发黑、冠龈边缘炎症等问题。点击在线咨询,了解我院的优惠活动!在线咨询可享更多优惠!
中韩·唯美口腔牙齿美容专家推荐

艾西川,副主任医师,精湛技术:颌面外科、牙齿美容、1小时德国西诺德CAD/CAM3D齿雕全瓷修复。毕业于中国口腔著名学府——西安第四军医大学,原南京军区口外知名专家,郑州市口腔医院院长。从事口腔全科临床工作三十余年,对口腔内外科有丰富的临床经验,拥有万例成功案例。曾获市级科研成果奖两项,省级三项,多部专著被列为医大教材,在国内外知名刊物上发表专业论文20余篇,多次应邀参加国内外口腔大型研讨会,于口腔治疗方面有独到的治疗方法,深受客人好评。
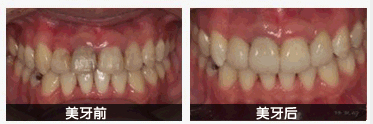
中韩·唯美口腔牙齿美容前后对比图

如果您还有其他疑问请点击中韩·唯美口腔在线咨询专家为您做详细的解答。一分钟预约挂号,医务人员将会与您一对一进行沟通。我们有中国更专业的网上挂号平台,为您提供更便捷的预约就诊服务,为您推荐全国资质更深、技术更好的口腔专家,让你从此刻开始摆脱牙齿问题的困扰。
相关感兴趣文章
豫公网安备 41010502002633号
免责声明:本网站近期将进行改版,网站所有内容及图片不做为任何法律依据。如有违反或者侵权,请及时联系更改。
网站医疗信息仅供参考,不能作为诊断及医疗依据 本网站内容部分来源转载于网络,不能作为任何法律依据!
请注意时效性,望知悉。如有违反或者侵权,请及时联系更正。